Un homme de 21 ans consulte aux urgences pour un gonflement douloureux du membre inférieur gauche évoluant depuis trois jours. Le patient n’a pas d’antécédent particulier.
L’examen clinique relève un œdème inflammatoire du membre inférieur gauche avec diminution du ballotement ; les pouls périphériques sont palpables. Le reste de l’examen est normal.
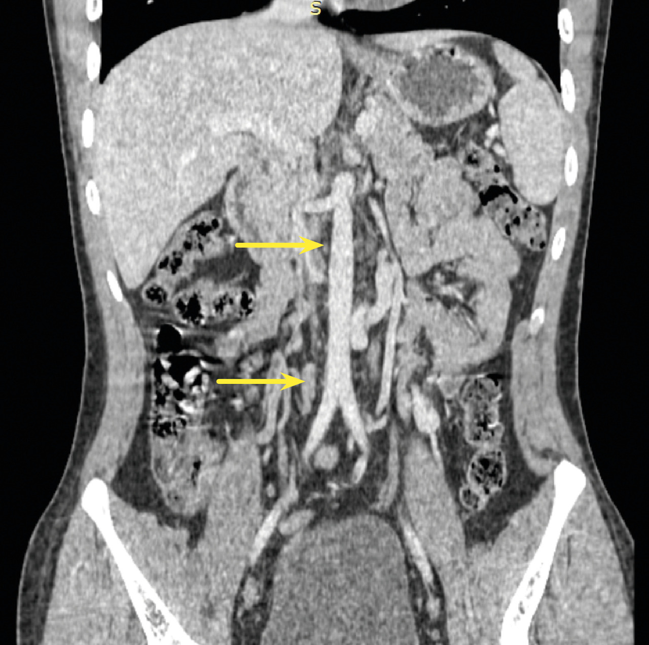
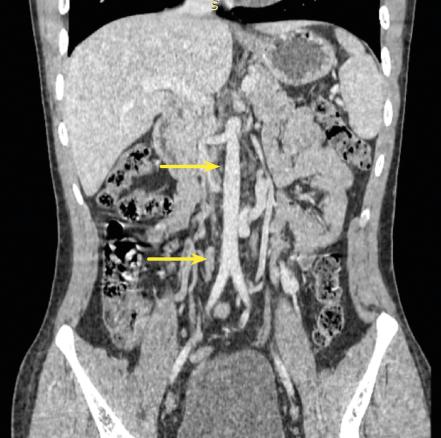
L’échographie Doppler veineuse des membres inférieurs montre une thrombose primitive de l’axe veineux iliaque, interne et externe gauche, sur tout le trajet. Devant l’étendue de la thrombose, un angioscanner abdomino-pelvien est réalisé (figure), révélant une agénésie de la veine cave inférieure infra-rénale avec déploiement de multiples collatérales veineuses pelviennes et périrénales. Un traitement anticoagulant a permis une évolution favorable.
L’examen clinique relève un œdème inflammatoire du membre inférieur gauche avec diminution du ballotement ; les pouls périphériques sont palpables. Le reste de l’examen est normal.
L’échographie Doppler veineuse des membres inférieurs montre une thrombose primitive de l’axe veineux iliaque, interne et externe gauche, sur tout le trajet. Devant l’étendue de la thrombose, un angioscanner abdomino-pelvien est réalisé (figure), révélant une agénésie de la veine cave inférieure infra-rénale avec déploiement de multiples collatérales veineuses pelviennes et périrénales. Un traitement anticoagulant a permis une évolution favorable.
Références
1. Kannappan M, Sakthi VS. Inferior vena cava agenesis: An underrated cause of deep venous thrombosis. Cureus 2023;15(1):e33667.
2. Osti N, Racanelli V, Susca N, et al. Direct oral anticoagulants in deep vein thrombosis associated with inferior vena cava agenesis: A report of three cases and a systematic review. Int J Cardiol Heart Vasc 2024;56:101565.
2. Osti N, Racanelli V, Susca N, et al. Direct oral anticoagulants in deep vein thrombosis associated with inferior vena cava agenesis: A report of three cases and a systematic review. Int J Cardiol Heart Vasc 2024;56:101565.
Une question, un commentaire ?