Recherche avancée

Précisez votre recherche

Par mots
Par parution
Ce contenu est exclusivement réservé aux abonnés

L’intégralité des articles parus dans nos revues

promo
Hémorragies digestives
Les hémorragies digestives sont un motif fréquent de recours aux soins, toutefois les présentations, les localisations, les causes et les niveaux de gravité sont très variés. L’urgentiste et le réanimateur sont au cœur de la prise en charge initiale, avant d’être épaulés, et souvent…
Stéato-hépatite non alcoolique
La classification des stéatoses hépatiques évolue. Les hépatopathies stéatosiques métaboliques sont désormais appelées MASLD (metabolic dysfunction-associated steatotic liver disease) en remplacement de l’ancienne dénomination NAFLD (non-alcoholic fatty liver disease). Il s’agit de l’…
vos images
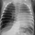
Lymphome de Hodgkin à localisation cutanée spécifique 
Un homme de 25 ans consulte pour des symptômes respiratoires incluant une dyspnée, une orthopnée et une toux, accompagnés de l’apparition...
vos images
Hygroma dans un contexte d’amputation bilatérale des membres inférieurs
Une enfant de 11 ans est amputée des membres inférieurs à la suite d’un choc toxique survenu dans le contexte d’une...
vos images
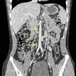
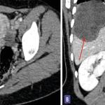
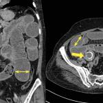
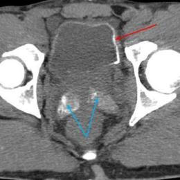
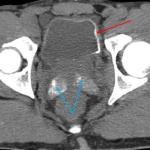
Cystite emphysémateuse
Une patiente de 89 ans, sans antécédent majeur, consulte aux urgences à la suite d’une chute accidentelle avec fracture...
vos images
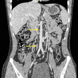
Tachycardie atriale focale
Un homme de 26 ans, militaire, consulte dans le cadre de sa visite de contrôle périodique d’aptitude au parachutisme...
VOS PATIENTS
Virus du chikungunya
Monsieur P., 22 ans, consulte pour un état fébrile associé à une éruption cutanée apparu depuis trois jours. Militaire,...
VOS PATIENTS
Syndrome coronarien aigu avec sus-décalage du segment ST
Un homme de 32 ans consulte pour un malaise sans prodrome et sans perte de connaissance survenu quinze minutes...
EDITO
La sémiologie pédopsychiatrique est aussi une affaire de pédiatres  !
Les consultations aux urgences pour un motif pédopsychiatrique sont en nette augmentation en France depuis le début des années 2000. La pandémie de Covid- 19 a aggravé la situation, avec…
TRIBUNE LIBRE
Mort annoncée de la santé  : un modèle global de santé est nécessaire
Les déterminants environnementaux, sociaux et comportementaux expliquent 62  % de la mortalité mondiale, tandis que le système de santé concentre les moyens pour une efficacité insuffisante. Penser un modèle global…
Débat
Autorisations de mise sur le marché des nouveaux médicaments  : un constat préoccupant
L’arrivée de candidats-médicaments promettant des progrès dans des pathologies sans traitement est attendue impatiemment par les patients, ce qui a conduit à créer une procédure accélérée de mise à disposition : l’…
Santé Société
Obésité maternelle et devenir de l’enfant : un enjeu majeur de prévention
Près d’une femme sur sept débute sa grossesse en situation d’obésité. Outre les complications obstétricales, cette situation expose le nouveau-né à des risques immédiats (mortalité périnatale, malformations, macrosomie…
Édito
Chutes des seniors : 20 000 morts évitables par an
Les chiffres récemment publiés par Santé publique France résonnent comme un signal d’alarme : 174 824 hospitalisations et 20 148 décès liés aux chutes en 2024 chez les personnes de 65…
promo