Un patient de 22 ans est admis aux urgences pour une douleur abdominale aiguë. Originaire de Côte d’Ivoire, il est arrivé en France à l’âge de 15 ans. Il n’a pas d’antécédent. 
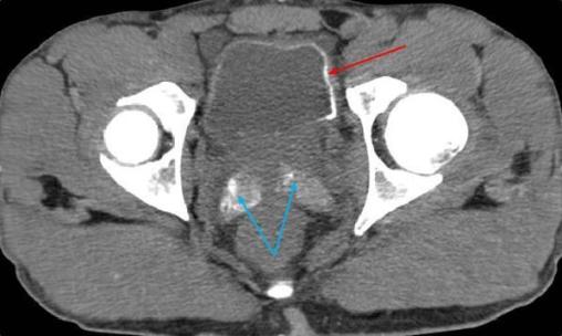
Devant un tableau clinique évocateur de colique néphrétique, avec une hématurie retrouvée à la bandelette urinaire, un scanner abdominal sans injection est réalisé. L’examen ne retrouve pas de lithiase au niveau des voies excrétrices rénales mais une ectasie calcifiée de l'uretère prévésicale gauche ainsi qu’une calcification diffuse de la paroi vésicale et des vésicules séminales (fig. 1). 
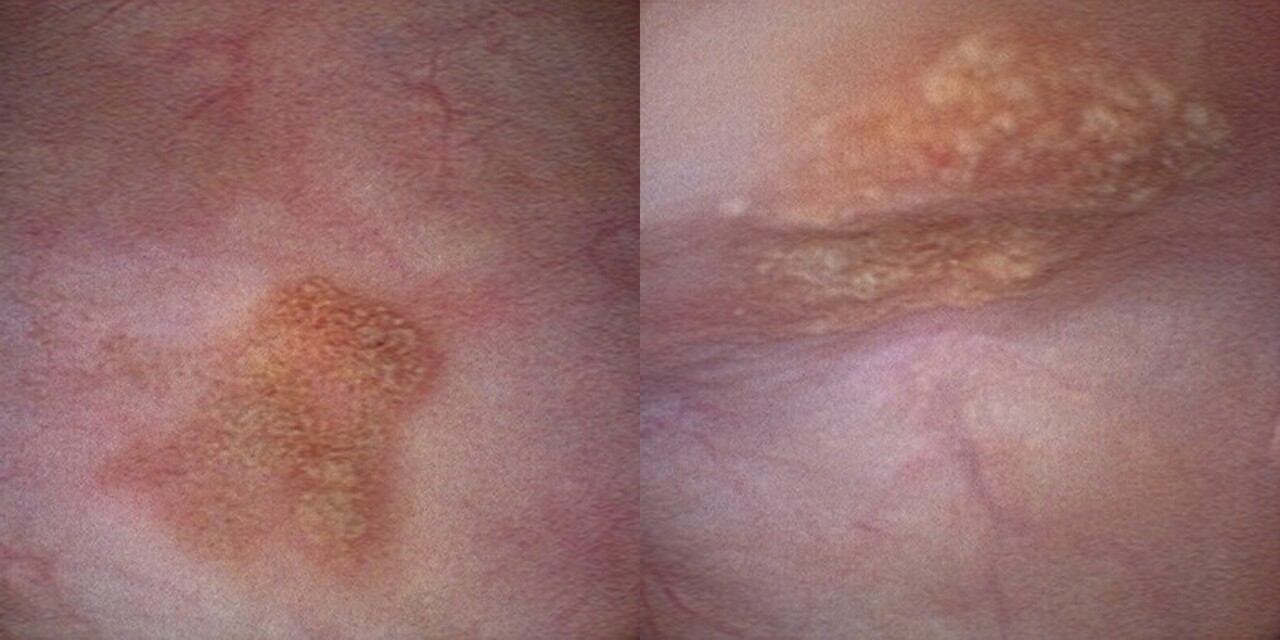
Devant ces éléments évocateurs de bilharziose urogénitale, un examen parasitologique des urines (EPU) est demandé, confirmant la présence d’œufs de Schistosoma haematobium. Un traitement par praziquantel est débuté et une cystoscopie est organisée secondairement par l’urologue. La cystoscopie met en évidence deux lésions infracentimétriques du dôme et du col vésical d’aspect cicatriciel (fig. 2). La cytologie urinaire élimine un carcinome urothélial de haut grade mais ne peut exclure une tumeur papillaire de bas grade.

La bilharziose urogénitale est une parasitose due à Schistosoma haematobium. Elle est endémique dans les zones tropicales, mais des foyers autochtones ont déjà été observés en Corse. L’homme s’infecte par pénétration cutanée lors d’un contact avec une eau douce contaminée. L’atteinte du système urogénital lors de la phase d’état peut rester asymptomatique ou provoquer une hématurie, des douleurs mictionnelles, une pollakiurie, une hémospermie ainsi que des infections urinaires ou génitales. La réaction inflammatoire induite par les œufs retenus dans les tissus conduit à la formation de granulomes évoluant vers la fibrose puis la calcification. Des complications sévères sont possibles : urétéro-hydronéphrose, infertilité et tumeurs vésicales.

Le diagnostic repose sur deux outils complémentaires : l’EPU et la sérologie bilharziose. Ces examens sont recommandés chez les migrants originaires de zones endémiques.

Le traitement repose sur le praziquantel à la dose de 40 mg/kg en une prise au cours du repas, pouvant être répétée en cas d’échec en majorant la dose à 60 mg/kg. Un suivi clinique et biologique est recommandé. Une échographie de l’appareil urinaire et une consultation urologique permettent de rechercher d’éventuelles complications.1,2 

Références
Berry A. Schistosomoses : aspects pratiques et actualités. Société de pathologie infectieuse de langue française : 24es Journées nationales d’infectiologie. Grenoble, 2023. 
Haute Autorité de santé. Actualisation des actes de biologie médicale relatifs au diagnostic de la schistosomose (bilharziose). Argumentaire. HAS, Saint-Denis La Plaine, 2017.

Une question, un commentaire ?

promo