Un patient âgé de 30 ans, maçon de profession, tabagique chronique, consulte pour infertilité primaire de trois ans avec une hémospermie terminale occasionnelle de faible abondance. Le toucher rectal trouve une prostate de taille normale, avec perception d’une masse kystique médiane de 3 cm de grand axe. Le reste des examens, cliniques et biologiques, est normal. Le spermogramme objective une oligospermie à 8 millions de spermatozoïdes par millilitre de sperme, avec une morphologie et une mobilité conservée.
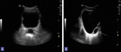
L’échographie sus-pubienne révèle une prostate de taille normale avec présence d’une formation kystique liquidienne anéchogène à paroi régulière mesurant 30 × 20 mm, enchâssée dans le tissu prostatique et se projetant sur la ligne médiane (fig. 1). L’échographie prostatique représente l’élément clé pour le diagnostic du kyste chez ce patient.
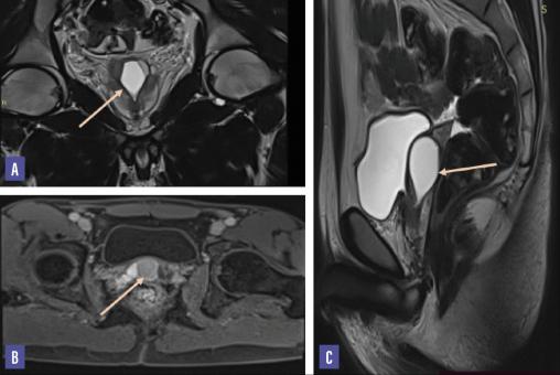
L’imagerie par résonance magnétique (IRM) dévoile la présence d’un kyste prostatique médian bien limité à paroi fine, à contenu hyposignal en pondération T1 et hypersignal en T2 non rehaussé après injection du produit de contraste mesurant 25 × 20 × 32 mm avec une anomalie de signal du contenu de la vésicule séminale droite en hypersignal T1 et hyposignal T2 authentifiant un contenu hématique (fig. 2).
Un geste endoscopique est indiqué par urétrocystoscopie, une évacuation du contenu du kyste avec résection de sa paroi antérieure est réalisée. 
L’évolution postopératoire est favorable. Un contrôle réalisé à six mois montre une prostate normale sur l’échographie ainsi qu’une amélioration nette de la numération sur le spermogramme atteignant 20 millions de spermatozoïdes par millilitre de sperme. Le patient a signalé une grossesse survenue spontanément au sein de son couple un an plus tard.

Les kystes intraprostatiques sont des lésions bénignes le plus souvent d’origine congénitale, rarement acquise. Ils sont de découverte de plus en plus fréquente grâce au développement des moyens d’imagerie. Ces lésions sont souvent asymptomatiques.1

Classiquement, on distingue trois types de kyste  : d’origine müllérienne (kyste de l’utricule prostatique, kystes des canaux de Müller), des canaux éjaculateurs et des vésicules séminales.1 Dans le cas présenté, le kyste était d’origine müllérienne.

Les kystes d’origine müllérienne se présentent comme des formations kystiques intraprostatiques médianes dont la caractéristique essentielle est de ne pas contenir de spermatozoïdes. Les deux autres types de kyste contiennent des spermatozoïdes. Tous ces kystes peuvent entraîner une infertilité, par différents mécanismes.2

Les circonstances et l’âge de découverte des kystes prostatiques sont très variables selon le type du kyste, son volume, sa localisation et ses éventuelles complications.3

La plupart des patients consultent pour des signes d’irritation vésicale, d’obstruction urétrale, d’infection génitale telle qu’une épididymite ou une infertilité. Parfois, ces kystes peuvent se compliquer par une hémorragie, une infection, une cancérisation ou une calcification.3

L’examen clinique repose essentiellement sur le toucher rectal, qui permet de mettre en évidence une masse médiane liquidienne intraprostatique, la palpation d’une masse abdomino-pelvienne est plus rare.L’examen physique est complété par un examen des organes génitaux externes, à la recherche de malformations associées.2

Le spermogramme peut montrer une hémospermie ou des signes d’hypofertilité. L’analyse cytologique et bactériologique du liquide intrakystique aide à en déterminer la nature.

Plusieurs moyens d’imagerie permettent le diagnostic de ces kystes.

L’échographie prostatique par voie sus-pubienne ou endorectale a un double intérêt diagnostique et thérapeutique, avec la ponction-aspiration du liquide intrakystique. Elle est un examen essentiel pour la classification des kystes prostatiques. En effet, les kystes d’origine müllérienne apparaissent comme une image liquidienne anéchogène à paroi régulière, de topographie médiane intraprostatique. Les kystes des canaux éjaculateurs sont de topographie médiane et légèrement latéralisée et se projettent sur le trajet du canal éjaculateur.4

L’imagerie par résonance magnétique (IRM) prend une place de plus en plus importante dans l’exploration de la prostate. L’exploration multiplan est un examen parfaitement adapté à l’étude de la pathologie kystique de la prostate. L’IRM visualise la masse liquidienne en précisant ses dimensions, ses rapports et ses limites. Les kystes à contenu purement liquidien, tels que les kystes des canaux éjaculateurs, ont un signal identique à l’urine, à savoir hyposignal en pondération T1 et hypersignal en T2  ; en cas de contenu hémorragique ou riche en protéines, ces lésions apparaissent en hypersignal T1 et T2.5

La tomodensitométrie donne les mêmes renseignements radiologiques que ceux de l’IRM, mais avec une moindre précision.

L’urétroscopie et l’urétrocystographie rétrograde peuvent être utilisées dans le diagnostic de ces kystes.

La prise en charge des kystes prostatiques n’est pas encore bien codifiée  ; il existe une grande variété de traitements, comme les techniques percutanées par ponction-aspiration du kyste, les techniques endoscopiques et les techniques chirurgicales d’exérèse.3

Les kystes intraprostatiques restent une pathologie rare mais qui peut contribuer à l’infertilité masculine d’origine excrétoire. Le traitement est indiqué dans les cas symptomatiques compliqués ou en cas d’hypofertilité. Le traitement endo­scopique, peu invasif, est toujours à privilégier en première intention.

Références
1. Felderman T, Schellhammer PF, Devine CJ Jr, et al. Müllerian duct cysts: Conservative management. Urology 1987;29:31-4.
2. Fontaine E, Jardin A. Anomalies des organes génitaux internes  masculins et retentissement sur la fertilité. Prog Urol 2001;11:729-32.  
3. Moukaddam HA, Haddad MC, El-Sayyed K, et al. Diagnosis and treatment of midline prostatic cysts. Clin Imaging 2003;27:44-6.
4. Hamper UM, Epstein JI, Sheth S, et al. Cystic lesions of the prostate gland. A sonographic-pathologic correlation. J Ultrasound Med 1990;9:395-402.
5. Gevenois PA, Van Sinoy ML, Sintzoff SA  Jr, et al. Cysts of the prostate and seminal vesicles: MR imaging findings in 11 cases. Am J Roentgenol 1990;155:1021-4.

Une question, un commentaire ?

promo