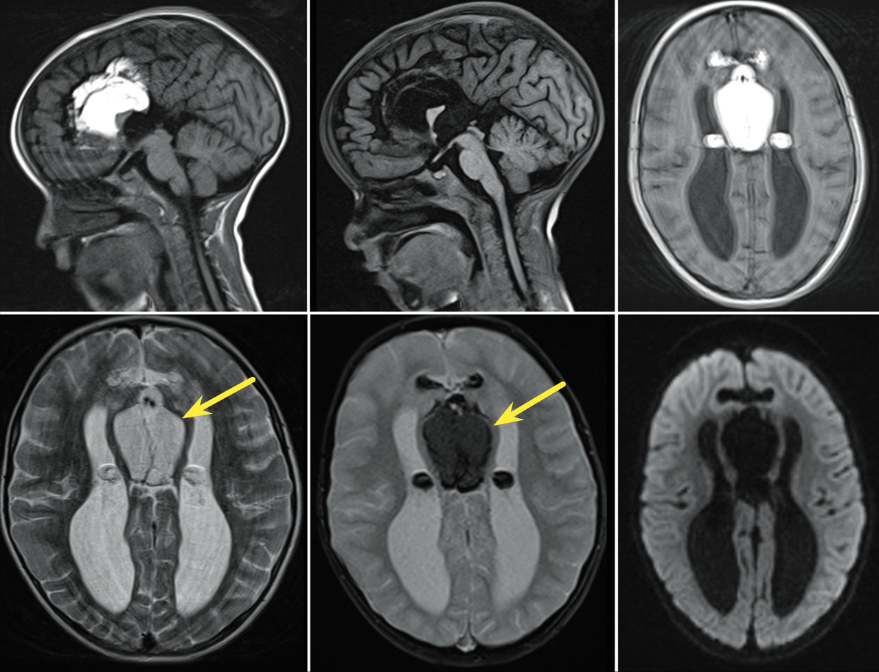
Un enfant âgé de 4 ans, sans antécédents pathologiques notables, est vu en consultation pour des crises épileptiques évoluant depuis un mois. L’examen clinique retrouve un patient conscient, stable sur le plan hémodynamique, normotendu, normocarde, et le bilan biologique est sans anomalie. Un électroencéphalogramme est réalisé, révélant une activité épileptiforme bilatéralement synchrone et généralisée. Le patient est mis sous traitement antiépileptique avec une amélioration clinique. Une imagerie par résonance magnétique (IRM) cérébrale effectuée dans le cadre du bilan étiologique montre une formation au niveau de la ligne médiane interhémisphérique, avec absence de visualisation du corps calleux en hypersignal T1, s’effaçant sur la séquence T1FS, en hypersignal intermédiaire T2, sans restriction de la diffusion, renfermant des calcifications linéaires et périphériques sur la séquence T2*, étendues latéralement aux espaces sous-arachnoïdiens antérieurs et au plexus choroïde (figure). Cette imagerie permet de poser le diagnostic de lipome du corps calleux.

Les lipomes intracrâniens sont des lésions congénitales malformatives très rares  ; l’extension dans le ventricule latéral est encore plus rare.1 Ils sont considérés comme des hétérotopies plutôt que comme des tumeurs.2 Ils sont localisés principalement dans la région péricalleuse.2 Les lipomes intracrâniens sont morphologiquement classés en deux groupes  :1

  • les lipomes antérieurs (tubulonodulaires), qui peuvent s’étendre dans les plexus choroïdes des ventricules latéraux  ;
  • les lipomes postérieurs (curvilignes), qui siègent plus en arrière sur le splénium.

Ils sont associés dans plus de la moitié des cas à des malformations congénitales telles que l’agénésie ou la dysgénésie du corps calleux.1 La plupart des lipomes du corps calleux sont asymptomatiques et sont découverts fortuitement. Leur pronostic et les symptômes dépendent de la malformation associée.1 

Références
1. Taglialatela G, Galasso R, Taglialatela G, et al. Lipomas of corpus callosum. Neuroanatomy 2009;8:39-42.
2. Alam A, Ram S, Sahu S. Lipoma of the corpus callosum: Diagnosis using magnetic resonance imaging. Med J Armed Forces India 2006;62:299-300. 

Une question, un commentaire ?

promo