Monsieur X., 72 ans, sans antécédents particuliers, consulte pour une masse testiculaire droite indolore, qui augmente progressivement de volume depuis un mois.
L’examen clinique met en évidence une masse testiculaire droite dure, non douloureuse. Il n’y a pas d’adénopathie périphérique. L’examen neurologique est normal.
Les dosages de l’alphafœtoprotéine (AFP) et de la gonadotrophine chorionique (β-HCG) sont normaux, mais le taux de lactate déshydrogénase (LDH) est 1,5 fois plus élevé que la normale.
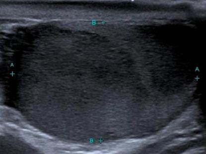
L’échographie révèle une masse hypoéchogène hétérogène du testicule droit (figure). Le TEP-scan montre également une fixation isolée au même niveau, sans atteinte ganglionnaire ni viscérale.
L’IRM cérébrale et la ponction lombaire sont sans anomalies.
Une orchidectomie droite est réalisée. L’analyse histologique révèle un lymphome diffus à grandes cellules B (CD20 +), avec un marqueur de prolifération (Ki67) à 90 %, sans envahissement de l’albuginée ni de l’épididyme.
Le patient a été traité par six cycles de R-CHOP toutes les trois semaines, puis par radiothérapie prophylactique du testicule controlatéral (30 Gy en 15 fractions). Compte tenu de l’absence de facteurs de risque spécifiques, aucune prophylaxie du système nerveux central n’est mise en place.
Le patient a bien toléré le traitement. Une évaluation post-thérapeutique par TEP-scan a confirmé la rémission complète. À vingt-quatre mois, aucun signe de rechute n’a été détecté.
L’examen clinique met en évidence une masse testiculaire droite dure, non douloureuse. Il n’y a pas d’adénopathie périphérique. L’examen neurologique est normal.
Les dosages de l’alphafœtoprotéine (AFP) et de la gonadotrophine chorionique (β-HCG) sont normaux, mais le taux de lactate déshydrogénase (LDH) est 1,5 fois plus élevé que la normale.
L’échographie révèle une masse hypoéchogène hétérogène du testicule droit (figure). Le TEP-scan montre également une fixation isolée au même niveau, sans atteinte ganglionnaire ni viscérale.
L’IRM cérébrale et la ponction lombaire sont sans anomalies.
Une orchidectomie droite est réalisée. L’analyse histologique révèle un lymphome diffus à grandes cellules B (CD20 +), avec un marqueur de prolifération (Ki67) à 90 %, sans envahissement de l’albuginée ni de l’épididyme.
Le patient a été traité par six cycles de R-CHOP toutes les trois semaines, puis par radiothérapie prophylactique du testicule controlatéral (30 Gy en 15 fractions). Compte tenu de l’absence de facteurs de risque spécifiques, aucune prophylaxie du système nerveux central n’est mise en place.
Le patient a bien toléré le traitement. Une évaluation post-thérapeutique par TEP-scan a confirmé la rémission complète. À vingt-quatre mois, aucun signe de rechute n’a été détecté.
Références
1. Dabaja BS, Specht L, Yahalom J. Lymphoblastic Lymphoma: Guidelines from the International Lymphoma Radiation Oncology Group (ILROG). Int J Radiat Oncol Biol Phys 2018;102(3):508-14.
2. Zouhair A, Herrmann E, Ugurluer G, et al. Primary testicular lymphoma. Swiss Med Wkly 2010;140:w13076.
2. Zouhair A, Herrmann E, Ugurluer G, et al. Primary testicular lymphoma. Swiss Med Wkly 2010;140:w13076.
Une question, un commentaire ?