Une patiente de 58 ans, sans facteurs de risque cardiovasculaire modifiables, consulte pour des douleurs thoraciques atypiques évoluant depuis plusieurs mois. L’électrocardiogramme est normal. L’échocardiographie est sans particularités et le dosage des troponines est négatif. L’échocardiographie de stress objective une ischémie dans le territoire inférieur.
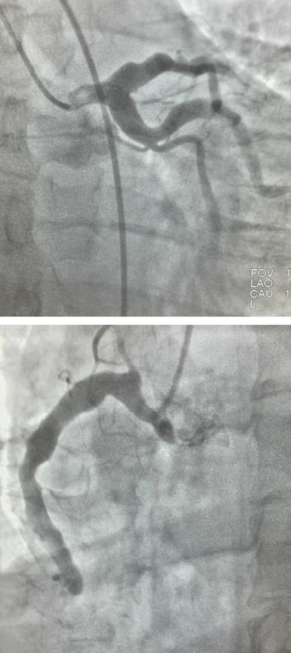
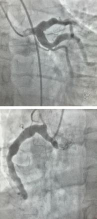
Une coronarographie est réalisée et révèle une dilatation diffuse et sinueuse des artères coronaires gauche et droite, sans sténose significative (figure). Aucun antécédent connu de maladie de Kawasaki ou d’atteinte inflammatoire n’est retrouvé. Un traitement médical conservateur est instauré, permettant une évolution favorable.

Les méga-dolicho-artères coronaires, ou ectasies coronaires, sont rares (moins de 5 % des coronarographies) et peuvent être congénitales ou acquises, le plus souvent athéro­mateuses ou inflammatoires.1 Elles favorisent la stase ­sanguine, la formation de thrombus et la survenue ­d’événements coronariens, même en l’absence de sténose significative.

La prise en charge repose sur une surveillance clinique et échographique. Un traitement par antiagrégant plaquettaire systématique et anticoagulant peut être discuté en fonction du risque thrombotique. L’imagerie coronarienne (coronarographie ou coroscanner) est essentielle pour le suivi.2

Références 
1.  Swaye PS, Fisher LD, Litwin P, et al. Aneurysmal coronary artery disease. Circulation 1983;67(1):134‑8.
2.  Manginas A, Cokkinos DV. Coronary artery ectasias: Imaging, functional assessment and clinical implications. Eur Heart J 2006;27(9):1026‑31.

Une question, un commentaire ?

promo