Un homme de 19 ans est hospitalisé pour un épisode de confusion brutale. Il a un déficit de l’attention traité par rispéridone et un antécédent maternel de mutation du facteur V de Leiden. L’interrogatoire ne révèle pas de prise de toxiques. L’examen clinique met en évidence un syndrome cérébelleux isolé avec une franche ataxie cérébelleuse et une dysmétrie. Les analyses biologiques sont sans particularités, notamment en toxicologie. L’imagerie par résonance magnétique (IRM) ne met en évidence aucune anomalie expliquant la symptomatologie. Durant son hospitalisation de plusieurs jours, les symptômes du patient régressent spontanément ; l’hypothèse étiologique d’une intoxication non détectée sur les analyses initiales est alors posée.
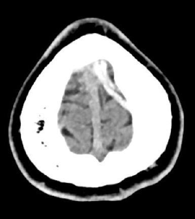
Huit jours plus tard, le patient présente un épisode de clonies du membre supérieur droit, suivi, dans la journée, d’une crise tonico-clonique généralisée, sans céphalées, nausées ni vomissements. Il s’agit du premier épisode décrit chez ce patient. Le scanner cérébral non injecté révèle une hyperdensité au niveau de la veine corticale de la convexité frontale postérieure gauche (fig. 1). L’angioscanner confirme une thrombose veineuse cérébrale (TVC), sans hémorragie ni atteinte parenchymateuse associée (fig. 2). Une relecture de l’IRM confirme l’absence d’antériorité ou de signe qui aurait pu être annonciateur d’une TVC.
Une anticoagulation curative par héparine de bas poids moléculaire et un  traitement antiépileptique par lévétiracétam ont été instaurés. Le patient a ensuite été transféré dans une unité de soins intensifs neurovasculaires.

La thrombose veineuse cérébrale (TVC) est une pathologie peu fréquente ; elle représente moins de 1 % des accidents vasculaires cérébraux.1 Elle est souvent diagnostiquée tardivement en raison de sa présentation clinique polymorphe. 

Les causes de TVC sont le plus souvent des troubles de l’hémostase, des infections, des traumatismes crâniens, des tumeurs ou des gestes chirurgicaux récents.2 

Les localisations préférentielles concernent les sinus latéraux, le sinus longitudinal supérieur ou le sinus caverneux.3 L’atteinte des veines corticales est exceptionnelle.4 

L’imagerie permet de poser le diagnostic. Le scanner non injecté peut mettre en évidence des signes directs tels que l’hyperdensité spontanée d’un caillot (signe de la corde). Néanmoins, ce signe n’a pas une spécificité élevé, puisqu’il est aussi observé chez des patients atteints de polyglobulie, chez le sujet jeune avec un hématocrite élevé ou chez le ­patient déshydraté.5 L’angioscanner met en évidence un ­défaut de remplissage après injection (signe du delta vide quand le caillot est au niveau sinusal).4 L’IRM constitue l’examen de référence, en particulier pour les formes corticales et les atteintes parenchymateuses.2

Ce cas illustre la difficulté diagnostique des TVC, dont les manifestations initiales peuvent être trompeuses et les anomalies scannographiques discrètes. Il souligne l’importance d’une lecture attentive des coupes apicales au scanner afin d’éviter un retard diagnostique, aux conséquences ­potentiellement graves. 

Références
1. Reiner P, Crassard I, Lukaszewicz AC. Thrombose veineuse cérébrale. Réanimation 2013;22(6):624‑33.
2. Arquizan C. Thrombophlébites cérébrales : aspects cliniques, diagnostic et traitement. Réanimation 2001;10(4):383‑91.
3. Kazouini I, Dahman H, Bouktib Y, et al. Aspects radiologiques de la thrombose veineuse cérébrale : à propos d’une série de 100 cas. J Neuroradiol 2025;52(2):101245.
4. Alami B, Boujraf S, Quenum L, et al. La thrombose veineuse cérébrale : aspects clinico-radiologiques, à propos d’une série de 62 cas. J Med Vasc 2019;44(6):387‑99.
5. Bonneville F. Imagerie des thromboses veineuses cérébrales. J Radiol Diagn Interv 2014;95(12):1130‑5.

Une question, un commentaire ?

promo