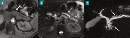
La séquence en pondération T1 avec suppression du signal graisseux (A) montre un hyposignal T1 diffus de la glande pancréatique. La séquence en pondération T2 avec suppression du signal graisseux (B) montre une dilatation irrégulière (flèches), sans sténose du conduit pancréatique principal. La séquence de cholangio-pancréatographie-IRM (C) confirme la présence d’une dilatation diffuse et irrégulière du conduit pancréatique principal, ainsi qu’une dilatation en « flammèche » des conduits pancréatiques secondaires. Une atrophie diffuse et modérée de la glande pancréatique est également observée.