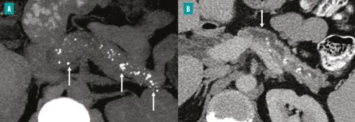
L’acquisition sans injection (A) montre la présence de multiples calcifications pancréatiques (flèches), de taille variable et distribuées de façon diffuse dans le parenchyme pancréatique ainsi que dans le conduit pancréatique principal. La TDM après injection de produit de contraste au temps portal (B) montre la présence d’un conduit pancréatique principal dilaté et irrégulier, sans véritable sténose. Une atrophie de la glande pancréatique, plus marquée au niveau de la jonction isthme-corps, est visible (flèche).