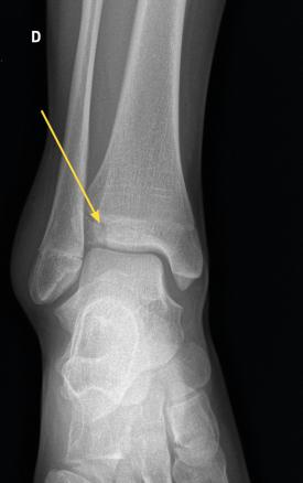
La fracture de Tillaux touche préférentiellement les adolescentes en fin de croissance, avec une atteinte de l’extrémité distale et latérale de l’épiphyse tibiale. Ici, fracture chez une jeune fille de 13 ans.
Lire aussi
Article Web
Exercice
Exercice