Pointe jaune : thrombose de la veine mésentérique supérieure ;
pointe rouge : hypoperfusion de la paroi grêlique ;
flèche jaune : épaississement de la paroi du grêle ;
point jaune : ascite.
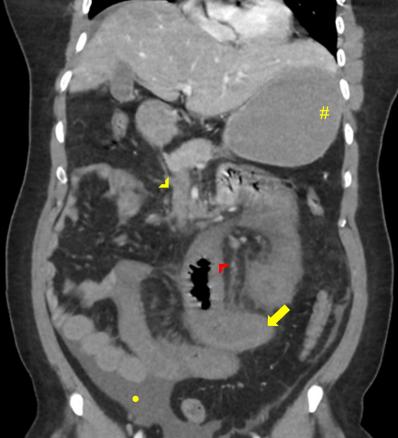
Pointe jaune : thrombose de la veine mésentérique supérieure ;
pointe rouge : hypoperfusion de la paroi grêlique ;
flèche jaune : épaississement de la paroi du grêle ;
point jaune : ascite.