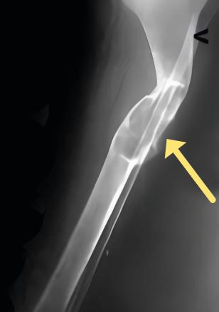
Image radiologique de tumeur brune. Lésion ostéolytique soufflante pouvant entraîner une fracture pathologique.
Lire aussi
Article
Exercice
Exercice
Image radiologique de tumeur brune. Lésion ostéolytique soufflante pouvant entraîner une fracture pathologique.