Un patient âgé de 66 ans est admis aux urgences pour une insuffisance respiratoire aiguë nécessitant une oxygénothérapie. Il est connu pour une infection au virus de l’immunodéficience humaine (VIH) depuis seize ans (stade C3 multirésistant depuis quatorze ans), avec un suivi régulier en infectiologie et sans antécédent de lithiase urinaire. Le patient est normocarde, normotendu, apyrétique et désaturant à 86 % en air ambiant. Le bilan biologique est sans particularité hormis les D-dimères (ajustés pour l’âge) augmentés. Le scanner thoracique met en évidence une embolie pulmonaire et, fortuitement, un calcul rénal, sans signes cliniques de colique rénale, sans insuffisance rénale et sans hématurie.
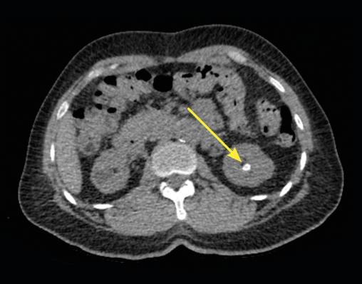
Lors de son hospitalisation, un scanner abdominal permet de localiser avec précision un calcul caliciel rénal radio-opaque gauche de 6 × 8 mm, de faible densité (354 UH), sans dilatation calicielle (fig. 1). En corrélation avec la lecture du scanner, le pourtour du calcul est difficilement visualisé sur la radiographie de l’abdomen sans préparation (fig. 2).
En raison de la taille du calcul, qui expose à un risque de migration symptomatique urétérale, l’ablation urétéroscopique est décidée et réalisée de manière élective une fois le traitement anticoagulant de l’embolie pulmonaire terminé. L’intervention se déroule sans complication (lithotripsie au laser in situ et extraction du calcul) [fig. 3]. Le patient est rentré chez lui vingt-quatre heures heures plus tard.
L’analyse du calcul par spectrophotométrie infrarouge révèle une formation étonnante, entièrement composée de sulfate d’atazanavir, un inhibiteur de protéase, utilisé en association avec du ritonavir. Cette origine médicamenteuse exclusive, extrêmement rare, a entraîné un signalement de pharmacovigilance pour effet indésirable auprès de Swissmedic(autorité suisse d’autorisation et de surveillance des produits thérapeutiques). Le patient avait débuté cet antirétroviral il y a onze ans, l’avait pris pendant quatre ans à une dose quotidienne de 300 mg, puis l’avait arrêté il y a sept ans.

Un calcul purement composé d’atazanavir (ATZ) est rare. Classiquement, les lithiases sont composites (principalement associées au calcium),1 - 4 permettant leur détection, souvent fortuite, par le scanner (CT) ou plus rarement à l’échographie. Leur analyse peut mettre en évidence leur composition longtemps après l’arrêt du traitement. Ceci indique que les calculs induits par les inhibiteurs de protéase ne se dissolvent pas obligatoirement après arrêt de la prise de la molécule. Cette notion est importante, afin de ne pas écarter d’emblée une suspicion de lithiase urinaire même après l’arrêt des inhibiteurs de protéase. De surcroît, il est bien établi qu’il y a latence entre le début d’un traitement avec des inhibiteurs de protéase et la présentation clinique d’une éventuelle migration lithiasique. En effet, dans une étude rétrospective portant sur 1134 patients séropositifs, dont 11 ont développé une lithiase urinaire, il a été rapporté que le délai moyen entre le début du traitement par ATZ et l’apparition des symptômes de la lithiase urinaire était de 1,9 an.5

Ce calcul asymptomatique aurait pu ne faire l’objet d’aucun traitement, mais une telle attitude apparaît toutefois non optimale pour deux raisons : premiè­rement, la migration inattendue d’un calcul peut être extrêmement inconfortable et peut simultanément exposer le patient à un risque grave de septicémie urinaire (plus encore chez un patient infecté par le VIH dont l’immunité peut être diminuée) ; deuxièmement, ces calculs d’origine médicamenteuse, en conjonction avec une diathèse phosphocalcique, peuvent aboutir à la formation de lithiases de grande taille3 - 8,9 et ainsi compliquer la prise en charge endoscopique.

Épidémiologiquement, peu de cas de calculs rénaux purs d’ATZ sont décrits dans la littérature. Cependant, les calculs composites contenant de l’ATZ ont une prévalence significative chez les patients séropositifs (11 %), comme le montre une série totalisant 465 cas de lithiase chez des patients sous ATZ.7 L’incidence des calculs rénaux est cependant nettement plus élevée chez les patients ayant reçu un traitement à base d’ATZ associé à la prise de ritonavir (23,7 cas pour 1 000 personnes-années) que chez les patients ayant reçu une autre association d’inhibiteurs de protéase (2,2 cas pour 1 000 personnes-années). Le suivi des patients sous ATZ et ritonavir après diagnostic de calculs rénaux a été associé à un taux élevé de récidive de lithiase (33 %). Dans la grande majorité des cas, le scanner à faible dose s’avère être la modalité d’ima­gerie diagnostique la plus efficace (85 % des patients), alors que l’échographie et la radiographie de l’abdomen sans préparation seules constituent la modalité de diagnostic dans 11 % et 4 % des cas respectivement.6 

Bien que la physiopathologie exacte entre la prise de médicaments à base d’ATZ et la formation de calculs soit encore inconnue, des études épidémiologiques suggèrent que des antécédents d’urolithiase, une exposition prolongée à l’ATZ associée au ritonavir ou encore une bilirubinémie élevée sont des causes potentielles.7,10

Une autre étude conclut que l’arrêt du ténofovir peut provoquer une lithiase urinaire chez les patients traités à l’ATZ, en augmentant la concentration plasmatique et urinaire de ce dernier.11 En outre, un traitement par ATZ de longue durée augmente l’incidence de la cristallisation de l’urine ; 9 % des personnes asymptomatiques traitées par ATZ-­ritonavir présentent des cristaux de calcium à l’analyse du sédiment urinaire.12

Il existe une corrélation entre la prise d’inhibiteurs de protéase et la formation de calculs urinaires  ; leur prévalence reste faible, mais les complications consécutives potentielles peuvent être significatives.

Pour les patients sous inhibiteurs de protéase au long cours, réaliser un scanner à faible dose serait l’examen de choix, avec un bon rapport bénéfice/risque, un faible coût et une irradiation équivalente à celle d’une radiographie standard. Le scanner est recommandé à vingt-quatre mois du début du traitement par des inhibiteurs de protéase. 

Les auteurs remercient le service de radiologie et le service de pathologie des Hôpitaux universitaires de Genève (HUG) pour les images fournies.
Références
1. Reyataz (atazanavir sulfate): Full prescription information. European Medicines Agency. 28/09/2016. https://www.ema.europa.eu/en/medicines/human/EPAR/reyataz 
2. Lebovitch S, Mydlo JH. HIV-AIDS : Urologic considerations. Urol Clin North Am 2008;35(1):59-68.
3. Wang LC, Osterberg EC, David SC, et al. Recurrent nephrolithiasis associated with atazanavir use. BMJ Case Rep 2014;2014:bcr2013201565.
4. Laditi F, Khan AI, Ghiraldi EM, et al. Endourological management of a rare radiopaque ritonavir-composed urinary calculus. Urol Case Rep 2021;39(1):101763.
5. Couzigou C, Daudon M, Meynard JL, et al. Urolithiasis in HIV-positive patients treated with atazanavir. Clin Infect Dis 2007;45(8):105-8.
6. Raheem OA, Mirheydar HS, Palazzi K, et al. Prevalence of nephrolithiasis in human immunodeficiency virus infected patients on the highly active antiretroviral therapy. J Endourol 2012;26(8):1095-8.
7. Hamada Y, Nishijima T, Watanabe K, et al. High incidence of renal stones among HIV-infected patients on ritonavir-boosted atazanavir than in those receiving other protease inhibitor–containing antiretroviral therapy. Clin Infect Dis 2012;55(9):1262-9.
8. Yudkoff BL, Linsenmeyer TA, Oakley A, et al. Urolithiasis associated with indinavir in a patient with spinal cord injury. J Spinal Cord Med 2004;27(3):263-5.
9. Fernández JM, Robles JE, Regojo JM, et al. Renal lithiasis due to indinavir. Rev Med Univ Navarra 2002;46(3):28-32.
10. Lafaurie M, De Sousa B, Ponscarme D, et al. Clinical features and risk factors for atazanavir (ATV)-associated urolithiasis: A case-control study. PLOS One 2014;9(11):e112836.
11. Fabbiani M, Bracciale L, Doino M, et al. Tenofovir discontinuation could predispose to urolithiasis in atazanavir- treated patients. J Infect 2011;62(4),319-21.
12. de Lastours V, Ferrari Rafael De Silva E, Daudon M, et al. High levels of atazanavir and darunavir in urine and crystalluria in asymptomatic patients. J Antimicrob Chemother 2013;68(8):1850-6.

Une question, un commentaire ?

promo