Les maladies vasculaires du foie sont des maladies rares et leur diagnostic peut parfois être difficile, tardif, conduisant à un retard de prise en charge délétère pour le malade. Il est le plus souvent multidisciplinaire, faisant intervenir au premier plan le clinicien mais également le radiologue et l’anatomopathologiste. 

Quand le clinicien doit-il penser à une maladie vasculaire du foie  ?

Dans tous les cas, l’attention doit être attirée par l’absence de cause reconnue de maladie chronique du foie (absence de consommation excessive d’alcool, de syndrome métabolique, d’hépatite virale chronique...). 

Inversement, un contexte de pathologie associée à une maladie vasculaire du foie peut être un élément évocateur, par exemple un syndrome myéloprolifératif, une prise médicamenteuse ou une maladie de système. 

L’âge (jeune) peut également être un critère qui doit attirer l’attention du clinicien, tout comme une hypertension portale manifeste ou sévère qui contraste avec une insuffisance hépatique peu marquée (encadré 1). 

Quand penser à une maladie des petits vaisseaux du foie  ?

Les deux modes de découverte principaux de la maladie vasculaire porto-sinusoïdale (MVPS) sont des anomalies inexpliquées des tests hépatiques et une hypertension portale (HTP) sans cirrhose.1 

Anomalies du bilan hépatique

Les altérations des tests hépatiques associées à la MVPS sont variées. Il s’agit pour les deux tiers des malades d’une élévation des transaminases le plus souvent modérée, pour la moitié des malades d’une élévation des phosphatases alcalines parfois supérieures à deux fois la limite supérieure de la normale, et pour les trois quarts d’une élévation des ƴGT.2,3 Dans deux études récentes ayant inclus plus de 1 200 malades avec des anomalies inexpliquées du bilan hépatique, des lésions de MVPS étaient présentes dans 15 à 20  % des cas  ;4,5 ces lésions étaient fréquemment isolées, sans HTP. 

Hypertension portale

L’autre manifestation de la MVPS est l’HTP. 

Outre l’absence de cause d’hépatopathie, les autres signes qui doivent alerter et inciter à pousser les investigations sont un contraste entre une HTP franche et des tests de la fonction hépatique normaux ou quasi normaux. Ainsi, le taux de prothrombine est généralement supérieur à 50  % chez les malades avec MVPS.

L’autre tableau qui doit alerter est le contraste entre les signes d’HTP et une élasticité hépatique basse (typiquement FibroScan hépatique  10 kPa).6 La thrombose de la veine porte peut aussi être une conséquence de la MVPS  ; cependant, une obstruction de la veine porte chronique peut aussi causer des remaniements du parenchyme hépatique proche de ceux d’une MVPS. Ainsi, en pratique, devant un malade ayant une throm­bose ancienne de la veine porte, il n’est pas possible de déterminer si la MVPS en est la cause ou la conséquence. Le diagnostic de MVPS repose sur la biopsie hépatique.

Quand penser à une maladie des gros vaisseaux du foie  ?

Pour ce qui concerne la thrombose splanchnique (de la veine porte principalement) aiguë, le principal symptôme est une douleur abdominale.1 Toutefois l’intensité des symptômes est très variable d’un patient à l’autre. De ce fait, le diagnostic peut être méconnu et établi seulement tardivement, au stade de cavernome portal, et éventuellement de complications de l’HTP (cette présentation semble plus fréquente chez l’enfant). 

Les anomalies des tests hépatiques sont habituellement modérées et transitoires. Il existe souvent un syndrome inflammatoire marqué. Une ascite transitoire, souvent de faible abondance et visible en imagerie, est présente chez la moitié des patients. En raison de la diffusion de l’imagerie non invasive, le diagnostic de thrombose récente de la veine porte est maintenant établi, dans la grande majorité des cas, au stade aigu chez l’adulte. Un contexte de thrombophilie connue ou d’affection (infection surtout) locale peut être évocateur. 

Le syndrome de Budd-Chiari peut, quant à lui, mimer toute maladie du foie, aiguë (et même hépatite fulminante) ou chronique, la présentation la plus habituelle étant l’association ascite-hépatomégalie-douleur abdominale.7 Là encore, l’absence de contexte habituel de maladie du foie et/ou une pathologie associée telle que thrombophilie connue peuvent être évocatrices. Le diagnostic de thrombose des veines du foie repose essentiellement sur les examens radiologiques. 

Quand le radiologue doit-il penser à une maladie vasculaire du foie  ?

Plusieurs situations peuvent conduire les radiologues à suspecter une maladie vasculaire du foie  : exploration du foie devant une suspicion d’hépatopathie aiguë ou chronique, présentation clinique aiguë (douleur abdominale en particulier), découverte fortuite lors de l’exploration d’une autre pathologie abdominale ou thoracique ou encore suivi d’une maladie connue. 

Nous nous intéressons ici au cas du premier diag­nostic chez des patients n’ayant pas de maladie vasculaire connue. 

Du fait de leur prévalence, les radiologues sont familiarisés avec les signes d’hépatopathie aiguë (hépatite) ou chronique fibrosante (cirrhose) et avec les signes d’hypertension portale (shunts porto-systémiques et splénomégalie, etc.). En revanche, les signes devant faire suspecter une maladie vasculaire sont moins bien connus. Pourtant, certaines caractéristiques de rehaussement, morphologiques hépatiques, ou certaines lésions focales doivent faire évoquer une maladie vasculaire et orienter les patients vers des équipes spécialisées. 

Rehaussement au temps artériel

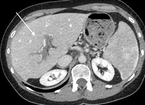
Le foie est perfusé par la ou les artères hépatiques et la veine porte, celle-ci étant responsable d’environ trois quarts des apports sanguins. Les deux systèmes vasculaires se rejoignent pour perfuser le réseau sinusoïdal du foie. Il a été démontré qu’une baisse de la perfusion portale entraîne une augmentation compensatoire de la perfusion artérielle hépatique. Cet effet, parfois appelé «  effet tampon  », se traduit directement en imagerie par un hyper-rehaussement à la phase artérielle dans les territoires souffrant d’une baisse du débit sanguin portal.8 C’est un signe clé pour évoquer une maladie vasculaire du foie. L’hyper-rehaussement présente des limites nettes, respectant les territoires vasculaires (fig. 1). En cas de chute de la perfusion porte dans tout le foie, ce rehaussement est présent dans les régions sous-capsulaires. Il s’homogénéise aux temps veineux. La mise en évidence de ce signe doit faire rechercher toute cause de baisse de la perfusion portale (thrombose, compression, maladie microvasculaire, etc.).

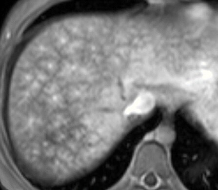
Dysmorphie hépatique 

Classiquement, la dysmorphie cirrhotique associe une atrophie du foie droit et du segment IV, une hypertrophie du lobe gauche et du segment I, et des contours bosselés. En cas de maladie vasculaire, la dysmorphie est différente et il est important de comprendre que les zones qui s’atrophient sont celles qui souffrent le plus. Ainsi  : 

  • en cas de thrombose porte segmentaire ou lobaire, la zone concernée s’atrophie progressivement  ;
  • en cas de maladie vasculaire présinusoïdale (par exemple MVPS ou thrombose porte), on observe volontiers une atrophie du foie périphérique, un segment IV de taille normale ou augmentée, des contours lisses du foie (fig. 2)  ;
  • en cas de maladie vasculaire post-sinusoïdale (par exemple syndrome de Budd-Chiari), la dysmorphie est plus variable, dépendant des atteintes veineuses. Le segment I est très hypertrophié dans plus de 50  % des cas.

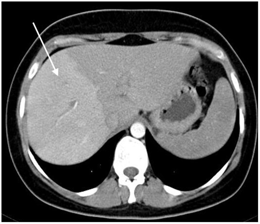
Perfusion en mosaïque

Le rehaussement (ou perfusion) en mosaïque du foie est très évocateur d’une maladie vasculaire. Il correspond à un rehaussement hétérogène (dit en feuille de fougère), surtout visible en périphérie et dans le foie droit, en particulier aux temps précoces (artériel et portal), puis qui s’homogénéise au temps tardif (fig. 3). Cet aspect est pathognomonique d’une dilatation sinusoïdale. Il doit donc faire rechercher toute cause de perturbation du retour veineux hépatique (thrombose des veines hépatiques, cardiopathie surtout droite, etc.).

Anomalies veineuses

Bien entendu, la non-visualisation d’une ou de plusieurs veines (hépatiques ou portes) doit faire penser à une maladie vasculaire du foie. Toutefois, la mise en évidence de thrombose marginée, de calcifications pariétales veineuses, d’anomalies de calibre sont aussi des signes évocateurs. Enfin, si la distribution des shunts veineux est clairement porto-systémique dans la cirrhose, la distribution est plus variable dans les maladies vasculaires  : drainage du foie vers les réseaux diaphragmatiques, pariétaux ou médiastinaux, shunts entre les veines hépatiques. Ces aspects sont très atypiques dans une cirrhose.

Lésions hépatocytaires bénignes multiples

La mise en évidence de multiples lésions hépatiques bénignes de type hyperplasie nodulaire focale (HNF) est très évocatrice de maladie vasculaire. En effet, la très grande majorité des maladies vasculaires s’accompagne d’une baisse du débit sanguin portal et d’une hyperartérialisation compensatrice dont on pense qu’elle joue un rôle dans le développement de lésions régénératives microscopiques (hyperplasie nodulaire régénérative) ou macroscopiques (HNF-like). 

Atteintes aiguës

Les présentations cliniques aiguës sont, dans la grande majorité des cas, dues à des thromboses portes ou hépatiques récentes. En imagerie, la thrombose apparaît comme une veine augmentée de calibre, spontanément hyperdense ou intense. De l’ascite et un rehaussement hétérogène sont fréquents (encadré 2).

Quand l’anatomopathologiste doit-il penser à une maladie vasculaire du foie  ?

Le bilan clinique, biologique et radiologique peut, dans une grande majorité des cas, orienter le pathologiste pour la recherche d’une maladie vasculaire. Néanmoins, dans un certain nombre de cas, une biopsie est réalisée en cas d’anomalies des tests biologiques hépatiques isolées (pouvant être observées en particulier dans la maladie vasculaire porto-sinusoïdale).9 Le plus souvent, une biopsie n’est pas nécessaire et potentiellement délétère pour porter le diagnostic de syndrome de Budd-Chiari. Elle peut être utile en cas de thrombose de la veine porte si l’on suspecte une maladie vasculaire porto-sinusoïdale ou pour éliminer une cirrhose. Elle est en revanche indispensable pour faire le diagnostic de MVPS.

Dans ce contexte, le pathologiste a une place prépondérante pour le diagnostic de la maladie vasculaire. Il doit analyser pas à pas la biopsie en portant une attention toute particulière aux vaisseaux. Tout d’abord, une biopsie de suffisamment bonne qualité est nécessaire pour établir le diagnostic de maladie vasculaire. Cette biopsie doit mesurer au moins 15 mm et, en dehors de la cirrhose, au moins dix espaces porte complets sont nécessaires pour considérer le prélèvement comme de qualité suffisante.10 Outre l’identification des caractéristiques morphologiques élémentaires suggérant des anomalies vasculaires, l’analyse de la biopsie hépatique permet d’estimer l’étendue de ces anomalies et leur chronicité grâce à l’évaluation de la fibrose et des distorsions architecturales.11 

L’évaluation histologique de la biopsie hépatique repose sur l’analyse de coupes sériées. La coloration standard à l’hématoxyline-éosine (HE) ou à l’hématoxyline-éosine-safran (HES) permet d’étudier la plupart des caractéristiques histologiques  ; une coloration du tissu conjonctif (coloration de Picro-Sirius ou trichrome de Masson) est également réalisée. La coloration de la réticuline fournit une évaluation plus précise de l’architecture hépatique que l’HE/HES, ce qui est particulièrement utile pour mettre en évidence les processus de régénération dans un contexte de maladie vasculaire. 

L’interprétation de la biopsie hépatique repose, comme pour les autres maladies du foie, sur une analyse systématique des différentes structures morphologiques du foie, avec une attention spécifique pour les espaces portes et en particulier les veines portes, les veines centrolobulaires et les sinusoïdes (voir critères analysés dans la figure 4).10 En particulier, une atteinte des veines portes et des sinusoïdes fait discuter une maladie vasculaire porto-sinusoïdale tandis qu’une atteinte des veines centrales et des sinusoïdes fait évoquer les diagnostics de syndrome de Budd-Chiari ou encore de syndrome d’obstruction sinusoïdale (fig. 5).

Diagnostic issu d’échanges pluridisciplinaires

De nombreuses situations cliniques doivent faire évoquer le diagnostic de maladie vasculaire du foie, qui repose sur un dialogue entre clinicien, radiologue et anatomopathologiste. Un diagnostic précoce permet une prise en charge optimale, en particulier par traitement anticoagulant et de l’hypertension portale. 

Encadre

Situations cliniques devant faire penser à une maladie vasculaire du foie

  • Anomalie hépatique inexpliquée (augmentation des transaminases, dysmorphie hépatique)  
  • ET absence de cause reconnue de maladie chronique du foie, consommation excessive d’alcool, syndrome métabolique, hépatite virale chronique... 
  • OU présence d’une pathologie associée à une maladie vasculaire du foie, tel qu’un syndrome myéloprolifératif, une prise médicamenteuse ou une maladie de système 
  • OU anomalies inexpliquées des tests biologiques hépatiques 
  • OU hypertension portale sans cirrhose (en particulier élasticité hépatique < 10 kPa) 
  • OU douleurs abdominales inexpliquées (parfois récidivantes)
Encadre

2. SIGNES DEVANT FAIRE PENSER À UNE MALADIE VASCULAIRE DU FOIE EN IMAGERIE

  • Hyper-rehaussement artériel de distribution vasculaire ou prédominant en sous-capsulaire 
  • Rehaussement en mosaïque 
  • Dysmorphie atypique : contours lisses et gros segment IV en particulier 
  • Anomalies veineuses : non-visualisation, réduction de calibre, thrombose marginée, calcifications 
  • Collatérales veineuses entre les veines hépatiques 
  • Dérivations veineuses hors des zones classiques de shunts porto-systémiques 
  • Multiples lésions hépatocytaires bénignes de type HNF (hyperplasie nodulaire focale)
Références 
1. Recommandations 2018 de l'AFEF. Les maladies vasculaires du foie. Hépato-Gastro et Oncologie digestive 2018;25 (suppl. 2):1-112.
2. Cazals-Hatem D, Hillaire S, Rudler M, et al. Obliterative portal venopathy : Portal hypertension is not always present at diagnosis. J Hepatol 2011;54 3):455-61. 
3. Siramolpiwat S, Seijo S, Miquel R, et al. Idiopathic portal hypertension : natural history and long-term outcome. Hepatology 2014;59:2276-85.
4. Barge S, Grando V, Nault JC, et al. Prevalence and clinical significance of nodular regenerative hyperplasia in liver biopsies. Liver Int 2016;36:1059-66. 
5. Elkrief L, Rautou PE. Idiopathic non-cirrhotic portal hypertension : the tip of the obliterative portal venopathies iceberg? Liver Int 2016;36:325-7.
6. Seijo S, Reverter E, Miquel R, et al. Role of hepatic vein catheterisation and transient elastography in the diagnosis of idiopathic portal hypertension. Dig Liver Dis 2012;44:855-60.
7. Ollivier-Hourmand I, Allaire M, Goutte N, et al. The epidemiology of Budd-Chiari syndrome in France. Dig Liver Dis 2018;50(9):931-7. 
8. Richter S, Mücke I, Menger MD, et al. Impact of intrinsic blood flow regulation in cirrhosis: maintenance of hepatic arterial buffer response. Am J Physiol Gastrointest Liver Physiol 2000;279(2):G454-62. 
9. EASL clinical practice guidelines: Vascular diseases of the liver European Association for the Study of the Liver. J Hepatol 2016;64(1):179-202. 
10. Paradis V, Rautou PE. Role of liver biopsy in the study of vascular disorders of the liver. In: Valla D, Garcia-Pagan JC, De Gottardi A, Rautou PE (ed.). Vascular disorders of the liver : Valdig’s guide to management and causes. Springer International Publishing 2022;3‑13. 
11. Bedossa P, Dargère D, Paradis V. Sampling variability of liver fibrosis in chronic hepatitis C. Hepatology 2003;38 (6):1449–57. 

Dans cet article

Ce contenu est exclusivement réservé aux abonnés

Résumé

Les maladies vasculaires du foie (MVF) sont des maladies rares et leur diagnostic peut être difficile, tardif, conduisant à un retard de prise en charge. Il est le plus souvent multidisciplinaire, faisant intervenir au premier plan le clinicien mais également le radiologue et l’anatomopathologiste. Dans tous les cas, l’attention doit être attirée par l’absence de cause habituelle de maladie du foie  ; inversement, un contexte de pathologie associée à une MVF peut être un élément évocateur. Les deux modes de découverte principaux de la maladie vasculaire porto-sinusoïdale sont des anomalies inexpliquées des tests hépatiques et une hypertension portale (HTP) sans cirrhose. Pour ce qui concerne la thrombose splanchnique (de la veine porte principalement) aiguë, le principal symptôme est une douleur abdominale. L’intensité des symptômes est très variable et le diagnostic peut être méconnu et établi tardivement, au stade de cavernome portal, et éventuellement de complications de l’HTP. Le syndrome de Budd-Chiari peut, lui, mimer toute maladie du foie, aiguë ou chronique, la présentation la plus habituelle étant l’association ascite-hépatomégalie-douleur abdominale. De nombreuses situations cliniques doivent faire évoquer le diagnostic de MVF, qui repose sur un dialogue entre clinicien, radiologue et anatomopathologiste. Un diagnostic précoce permet une prise en charge optimale du malade, en particulier par traitement anticoagulant et traitement de l’HTP.