Comment les reconnaître ?

Les maladies vasculaires du foie regroupent des atteintes des vaisseaux sanguins, veineux ou artériels, touchant à la fois la micro- et la macrocirculation hépatique. Ce dossier aborde spécifiquement les atteintes veineuses et sinusoïdales, des pathologies rares et souvent méconnues telles que le syndrome de Budd-Chiari, la thrombose portale et la maladie vasculaire porto-sinusoïdale. Leur diagnostic et leur traitement reposent sur une collaboration multidisciplinaire. Une organisation en centres experts est disponible sur tout le territoire français. Une prise en charge rapide est essentielle pour prévenir des complications graves. À long terme, il est crucial de prévenir le carcinome hépatocellulaire, d’encadrer des situations complexes comme la préparation d’une grossesse ou une intervention chirurgicale abdominale, et de prévenir d’autres complications.

Au sommaire

Maladies veineuses du foie : de quoi parle-t-on ?

Les maladies vasculaires du foie englobent les atteintes des vaisseaux sanguins artériels et veineux, touchant aussi bien la microcirculation que la macrocirculation hépatique et périhépatique.  Lorsque l’atteinte est veineuse, elle inclut des pathologies telles que le syndrome de Budd-Chiari (SBC), la thrombose de la veine…

Quand penser à une maladie vasculaire du foie  ?

Les maladies vasculaires du foie sont des maladies rares et leur diagnostic peut parfois être difficile, tardif, conduisant à un retard de prise en charge délétère pour le malade. Il est le plus souvent multidisciplinaire, faisant intervenir au premier plan le clinicien mais également le radiologue et l’anatomopathologiste. 

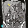
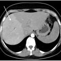
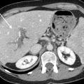
Syndrome de Budd-Chiari

Le syndrome de Budd-Chiari (SBC) est une affection rare caractérisée par une obstruction du drainage veineux hépatique, commençant au niveau des veinules hépatiques jusqu’à la partie terminale de la veine cave inférieure. Il peut se manifester par un tableau d’hépatite fulminante, notamment en cas d’obstruction complète des trois…

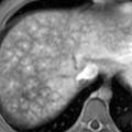
Atteintes des petits vaisseaux du foie

Les atteintes possibles des petits vaisseaux du foie sont au nombre de quatre (fig. 1)  :la maladie vasculaire porto-sinusoïdale (MVPS)  ;le syndrome d’obstruction des sinusoïdes, appelé également «  maladie veino-occlusive  », caractérisé par l’obstruction des sinusoïdes et des veinules hépatiques par des…

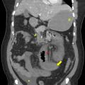
Thrombose porte et ischémie mésentérique veineuses

La thrombose de la veine porte (TVP) se caractérise par l’obstruction, le plus souvent par un thrombus, de la veine porte et/ou de ses branches portales (droite et/ou gauche). Cette obstruction peut être partielle ou complète, récente (moins de six mois) ou chronique (plus de six mois) et peut également affecter les vaisseaux…

Particularités du traitement anticoagulant dans les maladies vasculaires du foie

Les anticoagulants jouent un rôle majeur dans la prise en charge des maladies vasculaires du foie (MVF). Leur utilisation est cependant délicate en raison de l’hypertension portale fréquemment retrouvée dans ces pathologies. L’hypertension portale entraîne un risque accru d’hémorragie par rupture de varices œsophagiennes (VO) mais…

Les messages clés

1 - Les maladies vasculaires du foie sont rares et souvent sous-diagnostiquées, nécessitant une sensibilisation accrue des cliniciens

promo

Tableaux et figures

promo