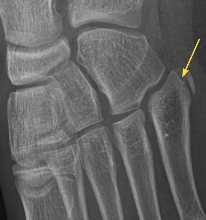
Radiographie du noyau épiphysaire de la base du cinquième métatarsien chez un enfant de 12 ans. Cette image n’est pas pathologique ; elle montre le cartilage de croissance vertical. En cas de fracture de la base du cinquième métatarsien, le trait est horizontal et la douleur bien localisée en regard.
Lire aussi
Article Web
Article
Article Web
Article