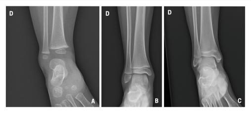
La cheville étant initialement une matrice cartilagineuse qui va progressivement s’ossifier, la lecture des radiographies est parfois difficile chez l’enfant, dont les cartilages de croissance sont encore visibles. A : enfant de 18 mois ; B : enfant de 8 ans ; C : enfant de 15 ans.
Lire aussi
Article Web
Article
Article Web
Article