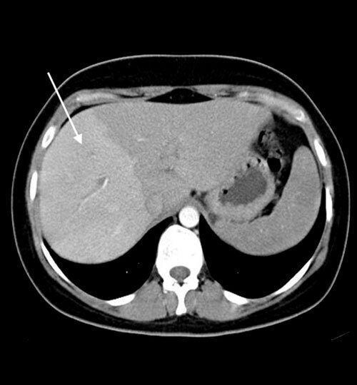
Les maladies vasculaires du foie regroupent des atteintes des vaisseaux sanguins, veineux ou artériels, touchant à la fois la micro- et la macrocirculation hépatique. Ce dossier aborde spécifiquement les atteintes veineuses et sinusoïdales, des pathologies rares et souvent méconnues telles que le syndrome de Budd-Chiari, la thrombose portale et la maladie vasculaire porto-sinusoïdale. Leur diagnostic et leur traitement reposent sur une collaboration multidisciplinaire. Une organisation en centres experts est disponible sur tout le territoire français. Une prise en charge rapide est essentielle pour prévenir des complications graves. À long terme, il est crucial de prévenir le carcinome hépatocellulaire, d’encadrer des situations complexes comme la préparation d’une grossesse ou une intervention chirurgicale abdominale, et de prévenir d’autres complications.

À lire :

Payancé A, Soret-Dulphy J. Maladies veineuses du foie : de quoi parle-t-on ?  Rev Prat 2025 ;75(10) :1078 - 80.

Dumortier J, Ronot M, Beaufrère A. Quand penser à une maladie vasculaire du foie  ?  Rev Prat 2025 ;75(10) :1081 - 5.

Meszaros M, Bureau C. Syndrome de Budd-Chiari.  Rev Prat 2025 ;75(10) :1085

Gayat C, Nuzzo A, Elkrief L. Thrombose porte et ischémie mésentérique veineuses.  Rev Prat 2025 ;75(10) :1098 - 104.

De Raucourt E, Ben Salah I, Gat J. Particularités du traitement anticoagulant dans les maladies vasculaires du foie.  Rev Prat 2025 ;75(10) ;1105 - 11.

Plessier A. Les 10 messages clés.  Rev Prat 2025 ;75(10) :1112.

Une question, un commentaire ?