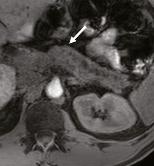
La pancréatite chronique se caractérise par des altérations morphologiques irréversibles du tissu exocrine et endocrine, associant inflammation et fibrose. C’est un continuum évoluant sur de nombreuses années. La pancréatite chronique est le fruit d’interactions multiples entre la consommation chronique d’alcool et de nicotine ; et des facteurs héréditaires, obstructifs, immunologiques et métaboliques. Quelle qu’en soit la cause prédominante, l’histoire naturelle et les complications restent similaires, seuls varient leur délai et leur fréquence d’apparition : insuffisance pancréatique exocrine et endocrine, douleurs chroniques, cancer du pancréas. Un bilan morphologique doit être réalisé, associant une scanographie et une pancréato-IRM. L’échoendoscopie permet le diagnostic des formes précoces et la recherche de diagnostics différentiels devant une forme focale pseudotumorale.

Tout d’horizon dans ce dossier coordonné par le Pr Vinciane Rebours, Hôpital Beaujon, Clichy, Université Paris Cité.

À lire :

Maire F, Diaguardi Burgio M. Définition, diagnostic et diagnostics différentiels de la pancréatite chronique.  Rev Prat 2026 ;76(2) ;150 - 5.

D’Engremont C, Moryoussef F. Bilan étiologique d’une pancréatite chronique.  Rev Prat 2026 ;76(2) ;156 - 9.

Gelsi E, Schneider S. Prise en charge et suivi du patient ayant une pancréatite chronique.  Rev Prat 2026 ;76(2) ;160 - 3.

Bucchini L, Rebours V. Prise en charge de la douleur de la pancréatite chronique.  Rev Prat 2026 ;76(2) ;164 - 7.

Cléry G. Cas particulier de la pancréatite chronique d’origine génétique.  Rev Prat 2026 ;76(2) ;168 - 70.

Rebours V. Pancréatite chronique : les 10 messages clés.  Rev Prat 2026 ;76(2) ;171.

Une question, un commentaire ?