Un bouleversement thérapeutique

La mucoviscidose, maladie génétique autosomique récessive, a une prévalence estimée à 1/4 500 naissances en France. L’âge moyen au décès est de 39,6 ans, contre 35 ans il y a dix ans. Toutefois, 70 % des décès concernent aujourd’hui des malades transplantés pulmonaires, et la mortalité pédiatrique est extrêmement faible. Cette évolution progressive est observée depuis 2002, année de la mise en place du dépistage néonatal systématique et d’une organisation structurée des soins au sein de centres de référence. Depuis la commercialisation du premier traitement dit « modulateur » de la protéine déficiente CFTR en 2012, les indications se sont progressivement élargies à près de 90 % des malades non transplantés pulmonaires. Ce bouleversement thérapeutique proposé de plus en plus tôt chez l’enfant justifie d’autant plus le dépistage néonatal et modifie le pronostic et la perception de la maladie.

Au sommaire

Dépistage néonatal de la mucoviscidose

La mucoviscidose est la plus fréquente des maladies génétiques autosomiques récessives létales dans la population caucasienne. En France, sa fréquence est de 1/4 500 naissances, et la proportion des sujets hétérozygotes porteurs sains est estimée à 1/25. La survie des patients s’est considérablement améliorée, avec une…

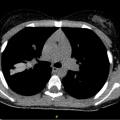
Place de l’imagerie dans le suivi de la mucoviscidose

La pathologie respiratoire au cours de la mucoviscidose représente encore l’essentiel de la morbidité et de la mortalité.1 La répétition des exacerbations respiratoires depuis l’enfance jusqu’à l’âge adulte accélère le déclin de la fonction respiratoire et favorise l’apparition de lésions radiologiques irréversibles telles que les…

Révolution dans la thérapeutique de la mucoviscidose

Pendant longtemps, les traitements de la mucoviscidose ont été des traitements symptomatiques visant à améliorer les symptômes et à ralentir l’évolution de la maladie. Cette prise en charge symptomatique a permis d’allonger de façon importante l’espérance de vie des patients, qui restait cependant très inférieure à celle de la…

Conseil génétique dans la mucoviscidose : que dire aux familles ?

La mucoviscidose est un modèle de maladie monogénique à transmission autosomique récessive, dans lequel seuls les individus possédant deux allèles pathogènes hérités des deux parents sont atteints. Plus de 2 100 variants du gène CFTR sont rapportés à ce jour dans le monde.1 Certains n’entraînent aucune conséquence clinique et…

Impact pronostique des nouveaux traitements de la mucoviscidose

En France comme dans la plupart des pays occidentaux, l’organisation des soins en centres spécialisés, la généralisation du dépistage néonatal, l’amélioration des traitements symptomatiques, en particulier à visée nutritionnelle (prévention et traitement de la dénutrition) et à visée respiratoire (prévention et traitement des…

Comment les patients vivent-ils le changement de paradigme thérapeutique dans la mucoviscidose  ?

Pour comprendre la «  révolution  » liée à l’accès aux traitements modulateurs de CFTR et surtout à élexacaftor-tézacaftor-ivacaftor (ETI), il convient de rappeler le contexte initial.Les propositions thérapeutiques n’étaient jusqu’alors pas liées au statut génétique du patient. Le pronostic de la maladie restait dominé…

Perspectives de traitement pour les patients non éligibles aux thérapies protéiques de la mucoviscidose

La nouvelle classe thérapeutique des «  caftors  » est en train de révolutionner la prise en charge des patients atteints de mucoviscidose. Cette nouvelle thérapie protéique transforme le paradigme de soin dans la mucoviscidose, permet d’envisager une augmentation de l’espérance de vie au-delà de 60 ans et, si cette…

Les messages clés

Le dépistage néonatal de la mucoviscidose est généralisé depuis 2002

promo

Tableaux et figures

promo