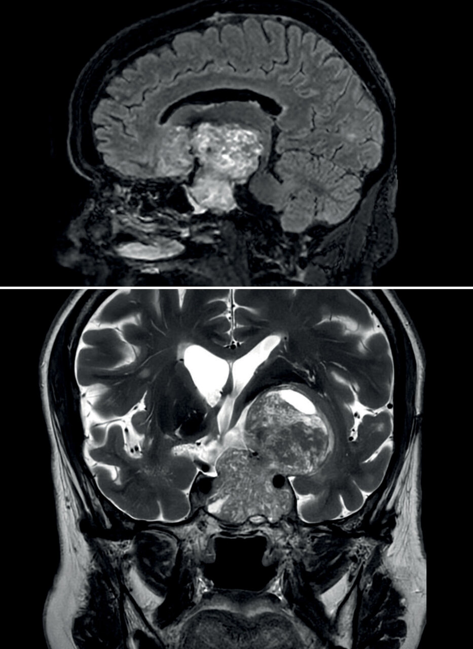
Une femme âgée de 66 ans est hospitalisée en raison de céphalées et d’une hémianopsie bitemporale. Une imagerie par résonance magnétique est réalisée.
Quel est votre diagnostic ?
L’IRM met en évidence un macroadénome hypophysaire élargissant la selle turcique et présentant une extension extrasellaire intracrânienne. Une exérèse est réalisée par voie frontotemporale. En post-opératoire, la patiente développe une insuffisance gonadotrope corticotrope et thyréotrope secondaire.
 
Par Olivier Fain, service de médecine interne, hôpital Saint-Antoine, Paris, France.

Exercez-vous aux ECN avec les dossiers progressifs et les LCA de La Revue du Praticien