Un berger de 37 ans, sans antécédents médicaux particuliers, consulte pour une toux sèche persistante et une douleur basithoracique droite. Il rapporte aussi des épisodes de dyspnée récents, une sensation de malaise généralisé et un prurit diffus.
Une radiographie thoracique est réalisée.
Quel est votre diagnostic ?
L’abcès pulmonaire peut montrer un niveau hydroaérique, mais pas de membranes flottantes. Le tableau clinique est plus fébrile et franc.
Dans le cas d’une tumeur cavitaire nécrosée, l’aspect radiologique est moins net, avec une paroi souvent irrégulière. Ici, le contexte carcinologique est absent.
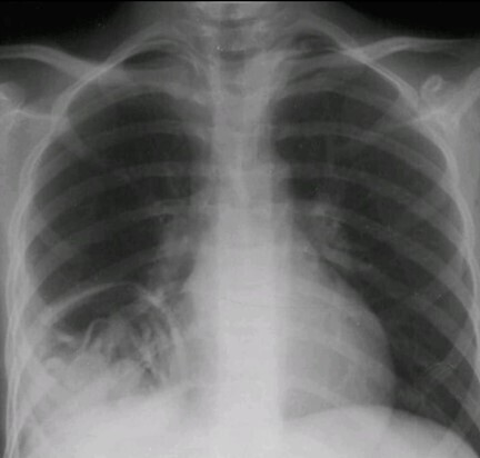
Il s’agit d’un kyste hydatique pulmonaire rompu. Voir explications ci-dessous.
Rarement associée à un niveau liquide-gaz aussi marqué, pas de membranes flottantes visibles.
Survient en contexte traumatique (absent ici), pas d’image kystique ni de membranes.
Les éléments suivants permettent de vous orienter :
• Le contexte rural avec contact canin oriente vers une échinococcose.
• L’aspect radiologique typique avec niveau liquide-gaz et membranes flottantes correspond au « signe du nénuphar » (ou water lily sign), caractéristique d’un kyste hydatique pulmonaire rompu.
• Les symptômes (toux, prurit, dyspnée, malaise) évoquent une réaction allergique secondaire à la rupture du kyste.
Il s’agit d’une urgence chirurgicale. La rupture peut entraîner des complications graves : anaphylaxie, surinfection, dissémination. Un traitement antiparasitaire (albendazole) est aussi indiqué. Ce qu’il faut retenir :
• Le kyste hydatique pulmonaire rompu est une forme grave de l’échinococcose. Il résulte de la rupture d’un kyste dans les bronches, libérant son contenu parasitaire, ce qui peut entraîner une réaction allergique sévère, une infection secondaire, voire une anaphylaxie.
• L’imagerie thoracique est essentielle :
– Le niveau liquide-gaz dans une cavité arrondie est classique, mais non spécifique ;
– Ce qui oriente fortement ici est la présence de membranes flottantes à l’intérieur du kyste, dessinant le « signe du nénuphar » (ou water lily sign), considéré comme quasi pathognomonique d’un kyste hydatique rompu.
• Le contexte épidémiologique est fondamental pour orienter le diagnostic :
– zone rurale ou endémique ;
– contact avec des chiens ;
– âge jeune à moyen ;
– absence d’antécédents pulmonaires.
• Le tableau clinique est souvent trompeur :
– Il peut imiter un abcès, une tuberculose, voire une tumeur cavitaire ;
– Les signes d’appel incluent : toux sèche ou productive, prurit, fièvre modérée, douleurs thoraciques, voire hémoptysie ou choc allergique.
• La prise en charge est urgente :
– chirurgie (résection ou extraction kystique) ;
– traitement médical antiparasitaire par albendazole (souvent en pré- et post-opératoire) ;
– éviter toute dissémination per-opératoire.
• En zone endémique, tout patient ayant une image kystique pulmonaire atypique doit faire évoquer un kyste hydatique, surtout en présence de signes systémiques ou d’un niveau liquide-gaz.
• Le contexte rural avec contact canin oriente vers une échinococcose.
• L’aspect radiologique typique avec niveau liquide-gaz et membranes flottantes correspond au « signe du nénuphar » (ou water lily sign), caractéristique d’un kyste hydatique pulmonaire rompu.
• Les symptômes (toux, prurit, dyspnée, malaise) évoquent une réaction allergique secondaire à la rupture du kyste.
Il s’agit d’une urgence chirurgicale. La rupture peut entraîner des complications graves : anaphylaxie, surinfection, dissémination. Un traitement antiparasitaire (albendazole) est aussi indiqué.
Ce qu’il faut retenir :
• Le kyste hydatique pulmonaire rompu est une forme grave de l’échinococcose. Il résulte de la rupture d’un kyste dans les bronches, libérant son contenu parasitaire, ce qui peut entraîner une réaction allergique sévère, une infection secondaire, voire une anaphylaxie.
• L’imagerie thoracique est essentielle :
– Le niveau liquide-gaz dans une cavité arrondie est classique, mais non spécifique ;
– Ce qui oriente fortement ici est la présence de membranes flottantes à l’intérieur du kyste, dessinant le « signe du nénuphar » (ou water lily sign), considéré comme quasi pathognomonique d’un kyste hydatique rompu.
• Le contexte épidémiologique est fondamental pour orienter le diagnostic :
– zone rurale ou endémique ;
– contact avec des chiens ;
– âge jeune à moyen ;
– absence d’antécédents pulmonaires.
• Le tableau clinique est souvent trompeur :
– Il peut imiter un abcès, une tuberculose, voire une tumeur cavitaire ;
– Les signes d’appel incluent : toux sèche ou productive, prurit, fièvre modérée, douleurs thoraciques, voire hémoptysie ou choc allergique.
• La prise en charge est urgente :
– chirurgie (résection ou extraction kystique) ;
– traitement médical antiparasitaire par albendazole (souvent en pré- et post-opératoire) ;
– éviter toute dissémination per-opératoire.
• En zone endémique, tout patient ayant une image kystique pulmonaire atypique doit faire évoquer un kyste hydatique, surtout en présence de signes systémiques ou d’un niveau liquide-gaz.
Pour en savoir plus :
WHO Informal Working Group. International classification of ultrasound images in cystic echinococcosis for application in clinical and field epidemiological settings. Acta Trop 2003;85(2):253-61.
Ammor M, Sbai A, Bellamri H, et al. Le kyste hydatique pulmonaire rompu : aspects cliniques et radiologiques. Rev Pneumol Clin 2011;67(2):99-104.
Beggs I. The radiology of hydatid disease. AJR Am J Roentgenol 1985;145(3):639-48.
Doğan R, Yüsel M, Cetin G, et al. Surgical treatment of pulmonary hydatid cysts: report on 1,055 patients.Thorax 1989;44(3):192-9.
Craig PS, McManus DP, Lightowlers MW, et al. Prevention and control of cystic echinococcosis. Lancet Infect Dis 2007;7(6):385-94.
Raoof S, et al. Pulmonary Hydatid Disease: CT Appearance. Radiology 1998;209(2):517-20.
Par le Dr Fatima Oulhouss, médecine interne, CHP Inezgane, Maroc.