Vous recevez aux urgences gynécologiques Mme C., 24 ans, G0P0, sans antécédent particulier, non fumeuse, cycles réguliers, ne prenant pas de contraception hormonale.

Elle consulte pour une douleur pelvienne aiguë apparue brutalement il y a six heures, en fosse iliaque gauche, intense, continue, associée à des nausées et deux vomissements, sans métrorragie ni leucorrhée.

À l’examen clinique :

– température = 37,8 °C ; pression artérielle = 115/70 mmHg ; fréquence cardiaque = 94/min ;

– sensibilité et défense en fosse iliaque gauche, douleur vive au toucher vaginal en regard de l’annexe gauche, cul-de-sac de Douglas sensible ;

– spéculum normal, pas de sang au niveau cervical ni vaginal.

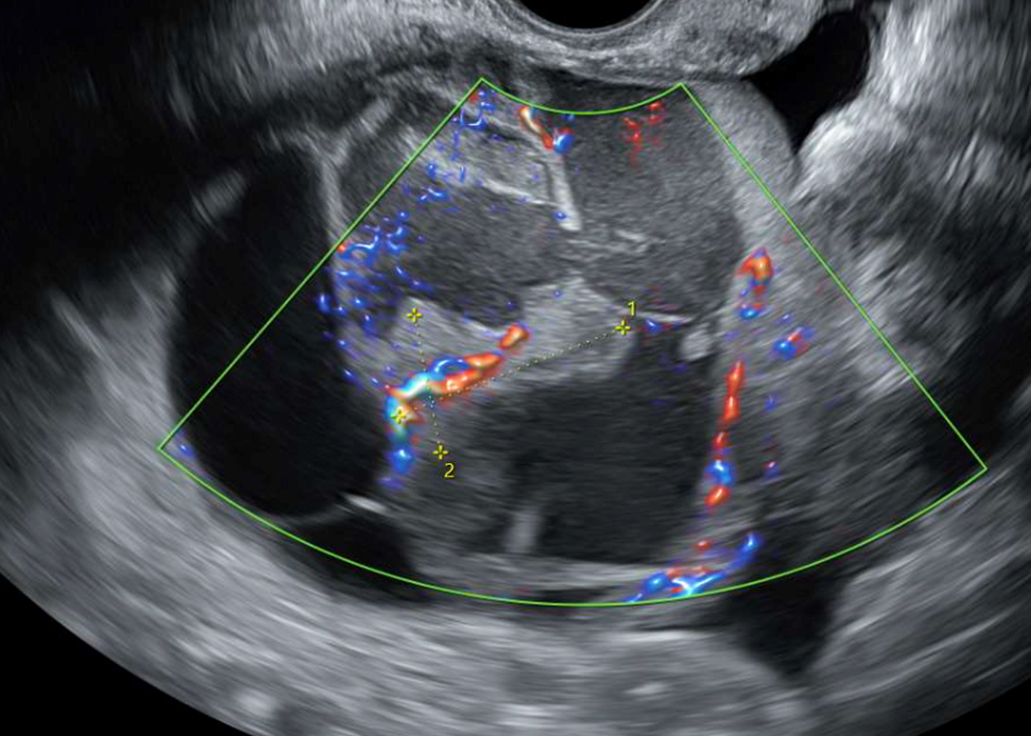
Une échographie pelvienne abdominale puis endovaginale est réalisée (figure 1). Elle montre :

– ovaire gauche augmenté de volume (75 × 55 mm), contenant un kyste uniloculaire finement échogène de 60 mm, à paroi fine, sans végétation ;

– ovaire droit sans particularité ;

– lame d’épanchement dans le cul-de-sac de Douglas.
 
Figure 1 (Rodolphe Matias de Sousa, La Revue du Praticien)
Question 1 - Concernant le tableau initial et l’échographie (une ou plusieurs propositions sont exactes) :
Il s’agit du principal diagnostic à toujours avoir en tête aux urgences gynécologiques.
La présence d’une masse ou d’un kyste ovarien ≥ 5-6 cm est un facteur de risque majeur de torsion. A contrario, l’absence de kyste ou la présence d’un endométriome même de grande taille rend peu probable le diagnostic de torsion d’annexe.
Un flux Doppler normal n’exclut pas la torsion ; il peut persister un flux artériel ou veineux résiduel, il s’agit d’un mauvais signe échographique pour le diagnostic.
La cœlioscopie exploratrice est la référence pour confirmer la torsion et traiter dans le même temps, en privilégiant un geste conservateur chez la femme jeune.
La triade douleur pelvienne aiguë brutale, nausées, vomissements est évocatrice de torsion d’annexe chez la femme en âge de procréer. La figure 2 illustre les différents critères échographiques d’une torsion annexielle (ovaire augmenté de volume [> 4 cm], souvent porteur d’un ou plusieurs kystes, hyperéchogène compte tenu de l’œdème, avec parfois l’absence de vascularisation au Doppler, et un ovaire controlatéral habituellement d’aspect normal).
Figure 2 (Rodolphe Matias de Sousa, La Revue du Praticien)

Source : Feng JL, Zheng J, Lei T. Comparison of ovarian torsion between pregnant and non-pregnant women at reproductive ages: sonographic and pathological findings. Quant Imaging Med Surg 2020;10(1):137-47.
Les ß-hCG urinaires sont négatifs. Devant la suspicion de torsion d’annexe gauche sur kyste ovarien, la patiente est adressée au bloc opératoire pour une cœlioscopie en urgence.
Question 2 - Concernant la prise en charge chirurgicale, quelle(s) est/sont la/les réponse(s) exacte(s) ?
Une cœlioscopie nécessite l’administration de curares qui ne peuvent pas être utilisés sans intubation oro-trachéale de la patiente. Une anesthésie générale est donc la seule anesthésie pouvant être proposée.
L’ovaire et la trompe ont une grande résistance à l’hypoxie. Ainsi, on essaie toujours de préserver l’ovaire et la trompe quel que soit leur aspect.
Parfois, en cas de kyste volumineux ou de récidive, il est décidé de fixer l’ovaire ou de réaliser une kystectomie ovarienne intra-péritonéale conservatrice en cas de quasi-certitude quant au caractère bénin du kyste.
Les seules indications de salpingectomie dans une torsion sont l’impossibilité totale de détordre la trompe (très rare) ou un aspect complètement nécrotique de celle-ci (et encore souvent on essaie tout de même). L’ovariectomie n’a pas sa place dans le traitement d’une torsion.
Dans le cadre d’un kyste d’aspect fonctionnel, un contrôle clinico-échographique est indiqué à trois mois.
Photographie per-opératoire post-détorsion. Ovaire gauche porteur d’un kyste de grande taille.
Figure 3 (Rodolphe Matias de Sousa, La Revue du Praticien)
L’exploration retrouve une torsion d’annexe gauche à deux tours de spire sur kyste ovarien uniloculaire de 6 cm, ovoïde, à paroi fine, sans végétation macroscopique. Une détorsion est réalisée sans complication per- ni postopératoire immédiate. La patiente retourne à son domicile le lendemain matin.
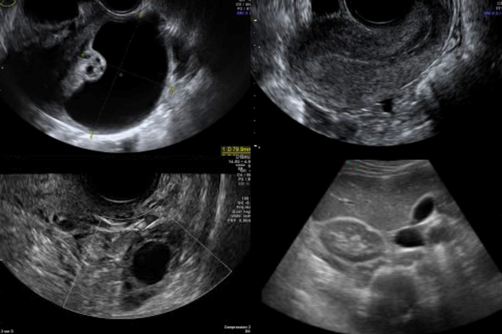
Trois mois plus tard, Mlle C. revient pour le contrôle clinico-échographique. Elle est asymptomatique, cycles réguliers, aucune douleur. Voici son échographie.
Figure 4 (Rodolphe Matias de Sousa, La Revue du Praticien)
Question 3 - Quel(s) critère(s) suspect(s) de malignité objectivez-vous sur cette image d’échographie endovaginale ?
Les cloisons sont épaissies et irrégulières.
L’aspect anéchogène avec un renforcement hyperéchogène postérieur (les ultrasons n’ont pas été atténués par le liquide présent dans le kyste contrairement à ceux ayant traversé le reste des tissus) est en faveur de la présence de liquide à l’intérieur du kyste. Les kystes fonctionnels bénins sont justement liquidiens purs.
Les principaux critères échographiques en faveur de la malignité d’un kyste ovarien sont la présence de composantes solides (végétations, paroi/cloisons épaisses), la vascularisation Doppler suspecte, l’ascite et certains critères de taille et de bilatéralité.
Figure 5 (Rodolphe Matias de Sousa, La Revue du Praticien)

Le tableau ci‑dessous résume les critères O-RADS classiquement décrits :

L’article suivant détaille très précisément cette classification avec de nombreuses illustrations : Andreotti RF, Timmerman D, Strachowski LM, et al. O-RADS US risk stratification and management system: a consensus guideline from the ACR ovarian-adnexal reporting and data system committee. Radiology 2020;294(1):168-85.
Compte tenu des critères échographiques suspects, vous réalisez un dosage sanguin de marqueurs tumoraux :
– CA125 : 220 UI/mL (N < 35 UI/mL) ;
– CA19-9 : 80 UI/mL (N < 37 UI/mL) ;
– HE4 augmenté ;
– β-hCG, α-fœtoprotéine, LDH normales.
Question 4 - Concernant la masse ovarienne retrouvée à trois mois et les marqueurs (une ou plusieurs réponses exactes) :
Le CA125 est le marqueur sérique le plus utilisé pour les tumeurs épithéliales non mucineuses de l’ovaire, en particulier les carcinomes séreux. Le CA125 n’est pas spécifique du cancer de l’ovaire ; il peut être élevé dans d’autres cancers (endomètre, trompe, digestif) et dans des pathologies bénignes (endométriose, infections).
Le CA19-9 (aussi appelé sialyl Lewis-a) est une protéine sécrétée par les cellules du pancréas, du foie et de la vésicule biliaire. Le CA19-9 est augmenté dans les cancers suivants :
– pancréas et voies biliaires ;
– colorectal ;
– estomac ;
– œsophage ;
– poumon ;
– foie ;
– ovaire ;
– utérus ;
– vessie.
Mais il est également augmenté en cas de pancréatite ou d’obstruction d’un canal biliaire.
L’association CA125 + HE4 permet de calculer le score ROMA, qui estime le risque de malignité d’une masse ovarienne en tenant compte du statut ménopausique.
Des marqueurs germinaux normaux (β-hCG, α-fœtoprotéine, LDH) ne plaident pas pour une tumeur germinale maligne ; au contraire, ils orientent plutôt vers une tumeur épithéliale ou stromale.
On distingue trois grandes catégories de cancer de l’ovaire selon l’origine cellulaire : les tumeurs épithéliales (environ 90 % des cas), les tumeurs germinales (moins de 5 % des cas), et les tumeurs des cordons sexuels et du stroma (environ 5 % des cas). Les tumeurs borderline souvent rencontrées en pratique clinique ne sont pas des cancers mais ont certaines anomalies microscopiques communes avec les cancers. Elles ont un excellent pronostic.

Tumeurs épithéliales malignes
Les carcinomes épithéliaux constituent la forme la plus fréquente de cancer ovarien et touchent principalement les femmes après la ménopause.
Le carcinome séreux de haut grade représente 50 à 70 % de tous les cancers épithéliaux et est le type histologique le plus agressif. Il se caractérise par des mutations du gène TP53 (présentes dans plus de 95 % des cas) et une association fréquente avec des mutations héréditaires de BRCA1 ou BRCA2 (environ 15 % des cas). Ce cancer est souvent diagnostiqué à un stade avancé (III ou IV), avec une dissémination péritonéale extensive.
Le carcinome séreux de bas grade est beaucoup plus rare et a une évolution clinique distincte. Contrairement à son homologue de haut grade, il se caractérise par des mutations de KRAS et BRAF avec un TP53 normal. Son évolution est plus lente, mais sa chimiorésistance relative pose des défis thérapeutiques spécifiques. L’âge médian au diagnostic se situe entre 45 et 55 ans.
Les carcinomes endométrioïdes représentent 10 à 25 % des tumeurs épithéliales et sont fréquemment associés à l’endométriose. Ces tumeurs peuvent avoir un déficit des protéines de réparation des mésappariements (dMMR), justifiant une recherche systématique pour identifier un éventuel syndrome de Lynch héréditaire.
Les carcinomes à cellules claires constituent environ 5 à 10 % des cancers ovariens et sont également associés à l’endométriose dans 60 % des cas. Ils se caractérisent par une chimiorésistance relative aux protocoles standard à base de sels de platine. Une hypercalcémie paranéoplasique peut être observée au diagnostic.
Les carcinomes mucineux représentent 3 à 10 % des tumeurs épithéliales. Ces tumeurs sont généralement unilatérales et peuvent atteindre des tailles considérables. Un aspect crucial du diagnostic est d’exclure une origine gastro-intestinale (et notamment appendiculaire) par métastase ovarienne. Le pronostic est excellent pour les stades précoces (environ 90 % de survie à cinq ans pour le stade I), mais la résection chirurgicale complète est essentielle car ces tumeurs répondent mal à la chimiothérapie.
Les carcinosarcomes (ou tumeurs mixtes müllériennes malignes) sont des tumeurs très rares (moins de 2 % des cancers ovariens) et extrêmement agressives. Elles associent une composante carcinomateuse épithéliale et une composante sarcomateuse. Le traitement repose sur la chirurgie cytoréductrice suivie de chimiothérapie, mais le pronostic reste sombre.

Tumeurs germinales malignes
Les tumeurs germinales malignes de l’ovaire (TGMO) représentent moins de 5 % de tous les cancers ovariens, mais constituent un tiers des cancers ovariens chez les enfants et les jeunes femmes. Elles se développent à partir des cellules germinales productrices d’ovules.
Le dysgerminome est la tumeur germinale maligne la plus fréquente, représentant 40 % de toutes les TGMO. Il touche principalement les femmes de moins de 30 ans. Ces tumeurs sont remarquables par leur excellente chimiosensibilité et radiosensibilité. Le pronostic est excellent, avec plus de 95 % de survie pour les stades précoces. Les marqueurs biologiques incluent la LDH et parfois l’hCG. Une bilatéralité est observée dans 10 à 15 % des cas. Il est important de rechercher un syndrome génétique (Swyer, Turner) nécessitant une annexectomie bilatérale en cas d’aménorrhée primaire.
Les tumeurs vitellines et les tératomes immatures sont d’autres formes de tumeurs germinales touchant les enfants et jeunes femmes. Elles se caractérisent par une élévation de l’alpha-fœtoprotéine (AFP). Ces tumeurs sont très chimiosensibles.
La chirurgie conservatrice est privilégiée pour préserver la fertilité chez ces jeunes patientes. Une simple annexectomie unilatérale avec stadification complète est généralement suffisante pour les stades précoces.

Tumeurs des cordons sexuels et du stroma
Les tumeurs des cordons sexuels et du stroma sont des tumeurs rares représentant environ 5 % des cancers ovariens. Elles se développent à partir des cellules de soutien de l’ovaire et sont souvent hormonosécrétantes.
Les tumeurs de la granulosa représentent la forme la plus fréquente de ce groupe, avec une incidence de 0,58 à 1,6 pour 100 000 femmes par an. On distingue la forme adulte (95 % des cas) survenant entre 40 et 70 ans, et la forme juvénile (5 %) plus agressive. Ces tumeurs sécrètent de l’inhibine, de l’hormone anti-müllérienne (AMH) et de l’estradiol, permettant un diagnostic précoce par les manifestations endocrines. La mutation du gène FOXL2 est présente dans 95 % des formes adultes.
Le pronostic est généralement favorable avec un faible degré de malignité. Cependant, ces tumeurs ont une particularité importante : elles peuvent récidiver très tardivement, même dix ans ou plus après le traitement initial. Cette caractéristique impose une surveillance prolongée sur plusieurs décennies.
Le traitement repose sur la chirurgie, qui peut être conservatrice chez les femmes jeunes désireuses de grossesse. L’objectif est de préserver la fonction hormonale ovarienne et la fertilité chaque fois que possible. Pour les stades avancés ou les récidives, une chimiothérapie et des traitements anti-hormonaux (anti-aromatases) ou anti-angiogéniques peuvent être proposés.
Les tumeurs de Sertoli-Leydig sont extrêmement rares (moins de 0,2 % de tous les cancers ovariens). Elles représentent 25 % des tumeurs endocrines de l’ovaire et constituent la principale tumeur sécrétante responsable de virilisation chez la femme. Les signes de virilisation (hirsutisme, raucité de la voix, hypertrophie clitoridienne) sont présents dans 30 à 50 % des cas. La testostéronémie est souvent supérieure à 1,5 ng/mL.
Ces tumeurs sont classées selon leur degré de différenciation : formes bien différenciées (bénignes dans 60 % des cas), formes à différenciation intermédiaire, et formes peu différenciées. Les formes peu différenciées ont un potentiel de malignité significatif avec un risque de récidive et de métastases. Le traitement est chirurgical, avec chimiothérapie adjuvante pour les formes peu différenciées.

Tumeurs borderline
Les tumeurs borderline ne sont pas des cancers au sens strict, mais ont certaines anomalies microscopiques communes avec les cancers. Elles touchent principalement les femmes entre 20 et 40 ans.
Le pronostic est excellent, avec une survie à cinq ans de 95 à 99 % pour les stades précoces et de 90 à 95 % pour les stades avancés. Ces tumeurs ne provoquent généralement pas de métastases, mais peuvent former des implants péritonéaux. Dans de rares cas, elles peuvent évoluer vers un carcinome séreux de bas grade par mutation génétique.
Le traitement est chirurgical, avec un objectif de chirurgie conservatrice maximale pour préserver la fertilité. Le risque de récidive augmente si l’exérèse n’est pas complète ou s’il y a eu rupture de la capsule lors de la kystectomie intra-péritonéale.
Vous suspectez une tumeur maligne de l’ovaire.
Question 5 - À propos de la conduite à tenir à ce stade, vous proposez (une ou plusieurs réponses exactes) :
En France, les décisions thérapeutiques en cancérologie doivent être discutées en RCP et faire l’objet d’un compte-rendu écrit versé au dossier.
Le cancer de l’ovaire, contrairement au cancer du sein ne métastase que très rarement au cerveau.
L’échographie endovaginale est l’examen de première ligne. La masse ovarienne est ensuite caractérisée par l’IRM. Le bilan d’extension repose ensuite sur un scanner thoraco-abdomino-pelvien injecté avec des temps spécifiques pour l’ovaire afin d’évaluer la diffusion péritonéale, ganglionnaire et sur les organes à distance. L’ensemble de ces examens doit être réalisé ou relu dans un centre expert.
Le scanner thoraco-abdomino-pelvien injecté avec séquences spécifiques pour l’ovaire et l’IRM pelvienne objectivent :
– une masse ovarienne gauche complexe de 8 cm, avec composante solide et implants péritonéaux millimétriques ;
– une ascite modérée, quelques adénopathies lombo-aortiques ;
– l’absence de métastases hépatiques ou pulmonaires visibles.
Le cas est présenté en RCP d’oncologie gynécologique. La RCP propose une chimiothérapie néoadjuvante par carboplatine-paclitaxel, suivie d’une chirurgie d’intervalle en cas de bonne réponse.
Par ailleurs, avant le début de la chimiothérapie, Mme C. exprime clairement son désir de grossesse ultérieure et demande si sa fertilité sera préservée. Elle est adressée à une consultation spécialisée d’oncofertilité.
Question 6 - Concernant la chimiothérapie et les modalités de préservation de fertilité (une ou plusieurs réponses exactes) :
Les schémas à base de platine et taxane exposent à des toxicités hématologiques (neutropénie, anémie, thrombopénie) et à des neuropathies périphériques sensitives.
La consultation d’oncofertilité doit idéalement avoir lieu avant le début de la chimiothérapie afin de pouvoir proposer des techniques de préservation sans retarder excessivement le traitement carcinologique.
La vitrification ovocytaire (ou embryonnaire) nécessite une stimulation ovarienne contrôlée et une ponction ovocytaire, habituellement sur un cycle de dix à quatorze jours. Les ovocytes sont ensuite congelés à très basse température. On préfère chez Mme C. éviter toute stimulation ovarienne.
Il s’agit d’une bonne méthode de préservation de la fertilité pour Mme C. En effet, elle est choisie notamment chez les femmes jeunes lorsqu’une stimulation ovarienne doit être évitée ou n’est pas réalisable en termes de délai de prise en charge oncologique. Elle est réalisée par cœlioscopie.
Compte tenu de l’âge jeune et du type histologique (carcinome séreux de haut grade de l’ovaire), Mme C. est également adressée en consultation d’oncogénétique.
Mme C. a une sœur de 26 ans et un frère de 34 ans. L’interrogatoire retrouve que sa mère a été atteinte d’un cancer du sein luminal A à 65 ans et son grand-père paternel d’un cancer du sein à 78 ans.
Une recherche de mutations germinales de prédisposition est proposée, incluant notamment les gènes BRCA1 et BRCA2.
Question 7 - À propos de la prédisposition génétique et des mutations BRCA (une ou plusieurs réponses exactes) :
Un cancer du sein chez l’homme quel que soit l’âge au diagnostic indique une recherche de mutation BRCA.
Les mutations germinales BRCA1/2 augmentent le risque de cancer du sein et de l’ovaire. On avance donc la date de début du dépistage du cancer du sein par rapport au dépistage organisé en population générale.
L’identification d’une mutation BRCA peut influer sur la prise en charge thérapeutique (indication d’inhibiteurs de PARP (poly-ADP-ribose polymérase), discussion de chirurgie prophylactique, modalités de surveillance).
On ne recherche une mutation BRCA que chez les femmes jeunes (moins de 50 ans) atteintes de cancer du sein.
L’enquête génétique n’est pas réservée aux femmes ménopausées ; elle est pertinente chez les femmes jeunes, voire très jeunes, du fait des enjeux de prévention familiale et de traitements ciblés. En cas de recherche positive, des stratégies de surveillance et de prévention adaptées pourront être proposées.

Exercez-vous aux ECN avec les dossiers progressifs et les LCA de La Revue du Praticien