Mme L., 30 ans, consulte pour amaigrissement de 7 kg, fièvre prolongée, frissons, sueurs nocturnes, toux sèche. Elle revient d’un séjour au Mali dans sa famille.
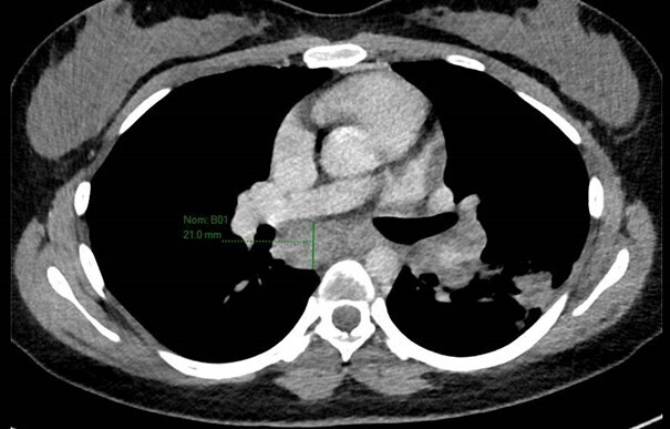
Le scanner thoracique montre des ganglions médiastinaux dont le centre est hypodense, ainsi que quelques lésions parenchymateuses en arbre en bourgeon.
Quelle est votre attitude ?
Tableau évocateur de tuberculose maladie, ce qui est cohérent avec les ganglions médiastinaux nécrotiques et la topographie de l’atteinte parenchymateuse.
Il faut instaurer un isolement air (masques FFP2) et faire une recherche de bacille de Koch dans les crachats 3 jours de suite. En cas de négativité, prévoir un lavage broncho-alvéolaire.
Le statut VIH est très important dans ce contexte.
Toute fièvre au retour de zone d’endémie palustre doit néanmoins faire réaliser un frottis-goutte épaisse, même si le paludisme n’est pas l’hypothèse la plus probable.
Par la Dr Jeanne De la Rochefoucauld, service de médecine interne, hôpital de la Pitié-Salpêtrière, Paris.
Il faut instaurer un isolement air (masques FFP2) et faire une recherche de bacille de Koch dans les crachats 3 jours de suite. En cas de négativité, prévoir un lavage broncho-alvéolaire.
Le statut VIH est très important dans ce contexte.
Toute fièvre au retour de zone d’endémie palustre doit néanmoins faire réaliser un frottis-goutte épaisse, même si le paludisme n’est pas l’hypothèse la plus probable.
Par la Dr Jeanne De la Rochefoucauld, service de médecine interne, hôpital de la Pitié-Salpêtrière, Paris.