[Mis à jour le 21/05/26]

 

Une patiente de 32 ans consulte aux urgences pour une altération de l’état général depuis 6 mois. Elle se plaint d’une toux persistante associée à de nombreux vomissements lors des efforts de toux. Elle a une fièvre et des frissons fluctuants depuis le mois de janvier.

On retrouve dans ses antécédents trois interruptions volontaires de grossesse (IVG), une rhinoplastie post-traumatique, un tabagisme actif (1,5 paquet par jour depuis l’âge de 14 ans, cannabis occasionnel). La patiente est allergique aux produits de contraste iodés (œdème de Quincke lors d’un scanner). Elle n’a pas séjourné outre-mer et on ne retrouve pas de contage infectieux récent.

Elle a un fils incarcéré depuis peu, âgé de 19 ans. Elle vit avec son second fils âgé de 6 ans, et est au chômage depuis six mois.

À l’entrée, elle pèse 46 kg pour 1,65 m (indice de masse corporelle = 18 kg/m2, poids de forme il y a 6 mois à 61 kg). Sa température est à 38,2 °C. L’auscultation pulmonaire est libre et symétrique. On retrouve une hépatosplénomégalie et quelques adénopathies cervicales centimétriques. Le reste de l’examen est sans particularité.

Voici les résultats du bilan biologique initial :

– Hb = 9,5 g/dL, VGM = 73,6 fL ;

– GB = 8 700/mm3, PNN = 6 584/mm3, Ly = 1 299/mm3, Eo = 157/mm3 ;

– urée = 1,6 mmol/L, créatininémie = 43 mmol/L, Na ± 135 mmol, K ± 3,1 mmol/L ;

– albuminémie = 28,2 g/L, Cac = 2,29 g/L ;

– CRP = 117 mg/L ;

– HCG = 0,8 ;

– ASAT = 10 UI/L, ALAT = 28 UI/L, PAL = 70 UI/L, gamma GT = 24 UI/L.
Question 1 - L’anémie retrouvée sur ce bilan peut être reliée à (une ou plusieurs réponses exactes) :
Anémie macrocytaire arégénérative.
Anémie macrocytaire ou normocytaire régénérative.
Après avoir éliminé une carence martiale et une inflammation, une anémie microcytaire signe généralement une thalassémie. Attention l’électrophorèse de l’hémoglobine est parfois normale dans les alpha-thalassémies mineures.
Principales causes d’anémies microcytaires : carence martiale, inflammation, thalassémie.
Question 2 - L’hypokaliémie pourrait être secondaire à (une ou plusieurs réponses exactes) :
Hyponatrémie, hyperkaliémie, hypoglycémie.
Hyponatrémie hyposomolaire, natriurèse adaptée ; normokaliémie.
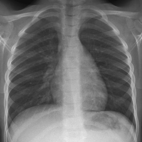
Vous réalisez une radiographie pulmonaire de face.
Figure 1.
Question 3 - La radiographie pulmonaire met en évidence (une ou plusieurs réponses exactes) :
Visibles au niveau du lobe supérieur gauche.
Question 4 - Devant ce tableau clinique et paraclinique vous suspectez (une ou plusieurs réponses exactes) :
Habituellement apyrexie, radiographie normale, parfois infiltrat interstitiel.
Tableau aigu bruyant, syndrome alvéolaire.
Tableau parfois insidieux, terrain immunodéprimé (VIH), pneumopathie hypoxémiante, discordance radio-clinique, syndrome interstitiel bi-basal.
Tableau souvent progressif, fréquence des signes extrapulmonaires, syndrome interstitiel (attention légionellose : syndrome alvéolaire bi-basal).
Vous suspectez une tuberculose.
Question 5 - Il pourrait s’agir d’une (une ou plusieurs réponses exactes) :
Asymptomatique ou toux fébrile, radiographie normale ou discrètes, opacités mais pas de cavernes.
Par définition asymptomatique, avec test immunologique positif : test de détection de l’interféron gamma (IGRA) ou intradermoréaction à la tuberculine (IDR).
Syndrome interstitiel micronodulaire, atteinte systémique hématogène.
Vous suspectez une tuberculose maladie pulmonaire.
Question 6 - Pour confirmer votre diagnostic vous réalisez en première intention (une ou plusieurs réponses exactes) :
Le diagnostic de confirmation d’une tuberculose maladie repose sur la mise en évidence de bacilles de Koch (BK) sur un prélèvement bactériologique, ou granulome épithélioïde gigantocellulaire avec nécrose caséeuse sur une biopsie.
Inutile au diagnostic d’une tuberculose maladie pulmonaire.
Pour les patients incapables d’expectorer, le crachat induit à une meilleure sensibilité que le tubage gastrique.
En fonction des possibilités du centre il faudra donc réaliser une fibroscopie bronchique avec aspiration ou un crachat induit si le patient est non expectorant.
La PCR n’est validée que dans la tuberculose maladie pulmonaire. Elle ne permet pas l’obtention d’antibiogrammes, mais réalisation possible de détection génétique des résistances.
Geste invasif, à ne pas réaliser en première intention en présence d’atteinte respiratoire.
Les nouvelles recommandations SPILF SPLF sur la tuberculose maladie 2025 sont disponibles ici.
Réalisation des BK crachats : deux prélèvements d’expectoration d’au moins 3 mL et non salivaires le même jour pour examen microscopique et mise en culture solide et liquide sans nécessité d’être à jeun.
Pour les patients incapables d’expectorer, le crachat induit à une meilleure sensibilité que le tubage gastrique.
En fonction des possibilités du centre il faudra donc réaliser une fibroscopie bronchique avec aspiration ou un crachat induit si le patient est non expectorant.
La recherche de BK sur les crachats est positive à l’examen direct.
Question 7 - Dans le cadre du bilan pré-thérapeutique ou à la recherche de complications ou à la recherche de pathologies associées, vous réalisez (une ou plusieurs réponses exactes) :
Suivi de l’observance (acide urique) et de la tolérance (bilan hépatique).
Bilan pré-éthambutol.
Indiquée en cas de miliaire tuberculeuse, conditionne la durée de traitement et l’usage associé d’une corticothérapie.
Recherche de facteurs favorisants, arguments épidémiologiques.
Arguments épidémiologiques, recherche de facteurs d’hépatotoxicité.
Le résultat de la sérologie de l’hépatite B demandée est la suivante :
– antigène HBs : négatif ;
– anticorps anti-HBs : positif ;
– anticorps anti-HBc : positif.
Les sérologies VIH et de l’hépatite C sont négatives.
Question 8 - La sérologie de l’hépatite B révèle (une ou plusieurs réponses exactes) :
L’antigène HBs traduit la réplication virale (comme la charge virale par PCR).
L’anticorps anti-HBs traduit une immunité acquise.
L’anticorps anti-HBc traduit un contact avec le virus (antigène non contenu dans le vaccin).
Votre diagnostic de tuberculose maladie pulmonaire est confirmé par la présence de BAAR à l’examen direct des crachats.
Question 9 - Vous décidez de débuter un traitement par (une réponse exacte) :
IREP pendant deux mois, puis IR pendant quatre mois (six mois au total). Le traitement sera prolongé (neuf mois) en cas de tuberculose neuroméningée.
Question 10 - Vous mettez en œuvre par ailleurs (une ou plusieurs réponses exactes) :
Précautions complémentaires aériennes (masque FFP2).
Corticothérapie consensuelle en cas de tuberculoses neuroméningées et de péricardites tuberculeuses.
Indication de supplémentation en vitamine B6 : dénutrition, grossesse, éthylisme, VIH, insuffisance rénale, neuropathie préexistante (risque de neuropathie majorée).
Signalement immédiat nominatif et notification anonymisée.
Permet une prise en charge à 100 % et une exonération du ticket modérateur.
Question 11 - Dans le cas de cette tuberculose bacillifère, l’organisme qui réalisera l’enquête autour du cas est (une ou plusieurs réponses exactes) :
Effectue l’enquête autour du cas et évalue le risque environnemental.
Ne s’occupe que des effets indésirables des médicaments et des produits de santé.
L’ARS délègue l’enquête autour des cas au CLAT.
Cellule de Santé publique France.
Organisme de santé publique rassemblant l’Institut de veille sanitaire (InVS), l’Institut national de prévention et d’éducation pour la santé (INPES) et l’Établissement de préparation et de réponse aux urgences sanitaires (EPRUS).
Question 12 - Pour réaliser l’enquête auprès de son fils de 6 ans, vacciné par le BCG à la naissance, asymptomatique et ayant un examen clinique normal, vous réalisez (une ou plusieurs réponses exactes) :
Indiqué en cas de :
1. dépistage avant mise sous traitement par anti-TNFα ou chez les patients infectés par le VIH ;
2. dépistage chez les personnels de santé et les migrants ;
3. enquête autour des cas (dépistage d’une infection récente) ;
Il n’est validé et utilisé qu’à partir de l’âge de 5 ans.
L’IDR a été globalement abandonnée au profit de l’IGRA.
Dépistage autour d’un cas de tuberculose : test immunologique (IDR ou test IFN-gamma) et radiographie pulmonaire et examen clinique.
Ces examens sont à réaliser au diagnostic, puis huit semaines après l’exposition en cas de normalité initiale.
Le vaccin par le BCG prévient les formes graves de l’enfant (miliaires et atteintes neuroméningées), mais pas l’ensemble des tuberculoses maladies pulmonaires.
La radiographie pulmonaire de son fils de 6 ans, asymptomatique est présentée ci-dessous.
Figure 2.

Le Quantiferon est positif.
Question 13 - Vous proposez de le traiter par (une réponse exacte) :
Traitement d’une tuberculose maladie et non d’une infection tuberculeuse latente (ITL).
Traitement d’une ITL
Indications : enfant de moins de 15 ans, sujet immunodéprimé, contamination < 2 ans ;
Modalités : IR pendant trois mois ou isoniazide seul pendant neuf mois.
Dans le cadre du suivi du traitement de la maman (IREP), le bilan hépatique réalisé à J30 retrouve :
– aspartate aminotransférase (ASAT) : 86 UI (n : 6-25) ;
– alanine aminotransférase (ALAT) : 92 UI (n : 7-25) ;
–bilirubine totale : 40 µmol/L (n < 25 µmol/L) ; gamma GT : 240 UI/L (n : 80-200 UI).
Question 14 - Vous proposez d’arrêter (une ou plusieurs réponses exactes) :
Cytolyse > 6N : arrêt de pyrazinamide + isoniazide. Reprise de l’isoniazide à plus faible dose si normalisation du bilan hépatique.
3N < cytolyse < 6N : arrêt du pyrazinamide, possible reprise du pyrazinamide si normalisation du bilan hépatique, élévation prudente.
La trithérapie (sans pyrazinamide) doit être prolongée (neuf mois).
Vous décidez d’arrêter le pyrazinamide.
Le bilan ophtalmologique réalisé à J30 retrouve :
– oculomotricité normale ;
– au fond d’œil : papille œdémateuse bilatérale ;
– champ visuel : scotome central et cæcocentral bilatéral ;
– vision des couleurs : dyschromatopsie d’axe rouge-vert.
Question 15 - Vous décidez d’interrompre (une ou plusieurs réponses exactes) :
Le tableau est évocateur d’une neuropathie optique rétrobulbaire sous éthambutol. Son apparition est rare pour des traitements classiques (deux mois). Elle impose l’arrêt immédiat du traitement.
Le tableau est évocateur d’une neuropathie optique rétrobulbaire sous éthambutol. Son apparition est rare pour des traitements classiques (deux mois). Elle impose l’arrêt immédiat du traitement.

Exercez-vous aux ECN avec les dossiers progressifs et les LCA de La Revue du Praticien