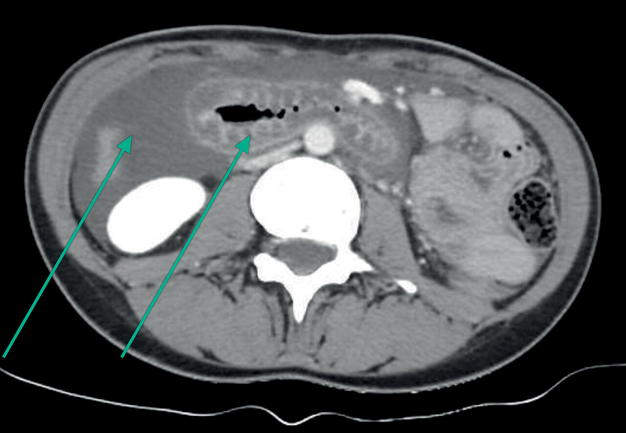
Une femme de 29 ans, sans antécédents, sous contraception orale depuis quelques mois, a des douleurs abdominales diffuses d’apparition brutale avec vomissements. Les analyses réalisées lors de la consultation aux urgences montrent des polynucléaires neutrophiles à 18 000/mm3 ; la protéine C réactive (CRP) est inférieure à 4 mg/L. Un scanner abdominal est réalisé.

La cœlioscopie se révèle normale. Les symptômes régressent spontanément en quelques jours mais réapparaissent de façon identique à deux reprises en trois mois.
Quel est votre diagnostic ?
L’angiœdème bradykinique est une maladie héréditaire avec le plus souvent un déficit en C1-inhibiteur, responsable de crises douloureuses abdominales (syndrome subocclusif ou ascite) et d’épisodes d’oedèmes de la face ou du larynx, qui en font toute la gravité.
 
Par Olivier Fain, service de médecine interne, hôpital Saint-Antoine, Paris.

Exercez-vous aux ECN avec les dossiers progressifs et les LCA de La Revue du Praticien