Vous êtes interne aux urgences. Mme X., 55 ans, consulte dans la nuit pour dyspnée fébrile. Cette patiente a pour principal antécédent des sténoses œsophagiennes explorées dans un hôpital voisin il y a six ans sans diagnostic étiologique clairement établi et ayant bénéficié à l’époque de dilatations endoscopiques. Elle n’a plus aucun suivi médical depuis cinq ans.

Elle vous décrit une altération de l’état général avec une perte de poids non quantifiée, une sensation fébrile au domicile depuis un mois, des sueurs nocturnes, une toux avec des crachats parfois hémoptoïques et une dyspnée d’effort.

À l’arrivée au service d’accueil des urgences, les constantes sont les suivantes : température (T°) = 38,2 °C ; tension artérielle (TA) = 100/60 mmHg ; fréquence cardiaque (FC) = 95 bpm ; saturation en oxygène (SpO2) = 89 % en air ambiant ; taille = 152 cm ; poids = 36 kg.

Cliniquement : patiente cachectique, polypnée superficielle sans signe de lutte ou de détresse respiratoire, auscultation retrouvant de discrets crépitants en base gauche, absence d’adénopathie périphérique superficielle palpée, pas d’hépatosplénomégalie, pas de céphalée, pas de signe de localisation neurologique.

Biologiquement : leucocytes (GB) = 11,4 G/L ; polynucléaires neutrophiles (PNN) = 9,2 G/L ; lymphocytes = 0,9 G/L ; hémoglobine (Hb) = 7,4 g/dL ; volume globulaire moyen (VGM) = 84 fL ; réticulocytes = 51 G/L ; plaquettes = 433 G/L ; sodium (Na) = 134 mmol/L ; potassium (K) = 4 mmol/L ; créatininémie = 45 µmol/L ; albuminémie = 12 g/L ; protéine C réactive (CRP) = 150 mg/L ; aspartate aminotransférase (ASAT) = 100 U/L ; alanine aminotransférase (ALAT) = 83 U/L ; gamma-glutamyl transférase (GGT) = 21 U/L ; phosphatase alcaline (PAL) = 92 U/L ; bilirubine = T/C 10/7 µmol/L ; taux de prothrombine (TP) = 65 % ; facteur V (FV) = 120 % ; temps de céphaline activée (TCA) = 0,78 ; fibrinogène = 8,2 g/L ; D-dimères = 2 148 ng/mL.

Un angioscanner thoracique est réalisé aux urgences devant les D-dimères élevés.

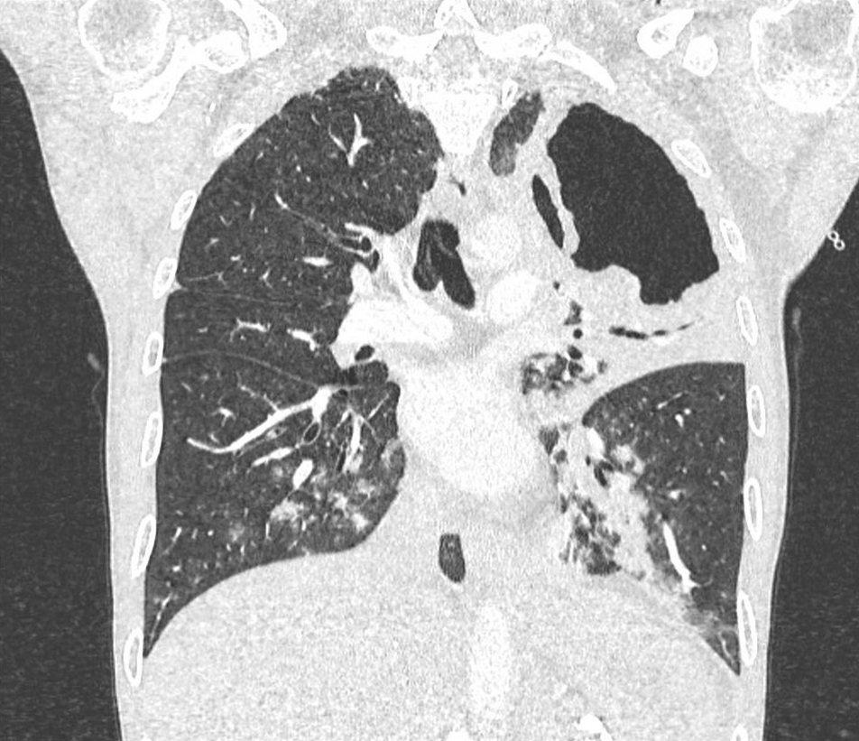
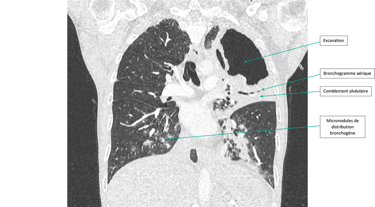
Figure 1 (Ariane Amoura, La Revue du Praticien)
Question 1 - Quelle(s) anomalie(s) observez-vous sur ce scanner ?
Il a une caverne du lobe supérieur gauche.
Les bronches vues en coupe ont le même diamètre que l’artère adjacente, il n’y a donc pas de dilatation des bronches.
Une atteinte miliaire correspond à des micronodules de distribution hématogène et non centrés sur une bronche, leur distribution est donc beaucoup plus diffuse et homogène dans le parenchyme pulmonaire.
Il y a une opacité systématisée sur lobe supérieur gauche avec bronchogramme aérique en son sein.
On retrouve aux deux lobes inférieurs des micronodules de distribution bronchogène dits « en arbre en bourgeons ».
Il s’agit d’un scanner du thorax en coupe frontale et en fenêtre parenchymateuse. On ne retrouve pas d’embolie pulmonaire mais on observe une lésion excavée lobaire supérieure gauche de grande taille avec une condensation alvéolaire péri-lésionnelle avec bronchogramme aérique. Dans les lobes inférieurs, il y a des micronodules centrés sur des bronches (distribution bronchogène ou en arbre en bourgeons).
Figure 2 (Ariane Amoura, La Revue du Praticien)
Question 2 - Quel est selon vous le diagnostic le plus probable à ce stade ?
Le diagnostic le plus probable devant l’altération de l’état général, le fébricule, le syndrome inflammatoire, la caverne située au lobe supérieur et les micronodules de distribution bronchogène dits en arbre à bourgeons est une tuberculose pulmonaire.
Question 3 - Quelle est votre prise en charge (une ou plusieurs réponses possibles) ?
Il faut bien sûr hospitaliser cette patiente devant le risque d’hémoptysie et devant la désaturation.
L’isolement gouttelettes (masque chirurgical) est suffisant pour les virus respiratoires (grippe, virus respiratoire syncytial [VRS]…) et est également indiqué en cas de suspicion d’infection invasive à méningocoque.
La suspicion principale est celle d’une tuberculose bacillifère devant la caverne, il faut donc mettre en place un isolement air (masque FFP2) car le bacille de Koch (BK) se transmet dans des microgouttelettes < 5 µm).
Il est important d’avoir un scanner injecté au temps artériel dans le contexte d’hémoptysie pour voir la distance des lésions avec les artères bronchiques et avoir une cible d’embolisation en cas d’hémoptysie importante.
Devant toute suspicion de tuberculose, il est indispensable de rechercher une séropositivité pour le VIH a fortiori ici dans le contexte de lymphopénie profonde.
Vous suspectez une tuberculose pulmonaire. Vous hospitalisez la patiente dans le service de maladies infectieuses et tropicales en chambre seule avec isolement air.
Question 4 - Quelle(s) autre(s) étiologie(s) évoquez-vous devant ce tableau ?
L’emphysème pumonaire peut évoluer vers des bulles avec images aériques de grande taille mais sans paroi.
L’abcès pulmonaire peut effectivement donner une image aérique ou un niveau hydro-aérique avec une paroi épaissie comme ici.
La nocardiose est une maladie grave survenant chez des patients immunodéprimés ou avec de lourdes comorbidités (dénutrition, alcoolisme…). Elle a un tropisme pulmonaire avec des nodules parfois troués et pouvant être de grande taille comme ici, un tropisme cutané et un tropisme cérébral. Cette bactérie est à croissance lente et nécessite donc de garder les prélèvements en culture de manière prolongée et de prévenir le laboratoire. L’identification d’espèce est primordial pour le choix des antibiotiques (les antibiotiques les plus fréquemment actifs sont le linézolide, le Bactrim, l’imipénème et contre certaines espèces l’Augmentin et les céphalosporines de troisième génération).
L’aspergillome désigne la colonisation d’une cavité aérique préexistante par une truffe aspergillaire. L’imagerie permet d’évoquer le diagnostic qui est conforté par la sérologie aspergillaire. Cette pathologie ne donne pas de signes généraux et comme il s’agit d’une colonisation, il n’y a pas de réaction inflammatoire et donc pas d’épaississement des pourtours de la cavité colonisée. Il est important, chez les patients avec des séquelles de tuberculose à type de caverne par exemple, de surveiller régulièrement la sérologie aspergillaire.
L’actinomycose pulmonaire est une infection pulmonaire chronique bactérienne causée le plus souvent par Actinomyces israelii et secondaire à une brèche muqueuse (alcoolisme chronique, mauvaise hygiène bucco-dentaire, geste bronchique). L’imagerie révèle une masse parfois excavée et l’analyse anatomopathologique met en évidence des filaments bactériens jaunes « grains de souffre ». Comme pour la nocardiose, la culture est difficile et les prélèvements doivent être conservés de manière prolongé et le laboratoire de bactériologie informé de la suspicion diagnostique. Le traitement repose sur l’amoxicilline de manière prolongée.
Question 5 - Quel bilan paraclinique demandez-vous en première intention (une ou plusieurs réponses exactes) ?
Il faut réaliser un ECBC dans l’hypothèse d’un abcès pulmonaire ou d’une surinfection bactérienne.
Les BK crachats sont importants pour rechercher des bacilles acido-alcoolorésistants évocateurs d’une infection tuberculeuse à l’examen direct. Leur présence à l’examen direct en dehors de tout traitement signe la contagiosité.
Si les patients ne crachent pas, il a été récemment recommandé de privilégier un crachat induit avec le kinésithérapeute après un aérosol de sérum physiologique qui ont une meilleure sensibilité que les BK tubages (60 % de sensibilité seulement). On réalise maintenant les BK tubages en dernière intention si le patient n’expectore pas et que la fibroscopie bronchique et le crachat induit ne sont pas possibles.
L’antigénurie pneumocoque n’a maintenant plus sa place que dans les pneumonies aiguës communautaires graves hospitalisées en réanimation (recommandations de prise en charge des pneumonies aiguës communautaires, Société de pneumologie de langue française-Société de pathologie infectieuse de langue française (SPILF-SPLF) 2025.
Si les patients ne crachent pas, il a été récemment recommandé de privilégier un crachat induit avec le kinésithérapeute après un aérosol de sérum physiologique qui ont une meilleure sensibilité que les BK tubages qui ne sont plus recommandés en première intention.
Nouvelles recommandations SPILF-SPLF sur la tuberculose maladie 2025 ici.
Réalisation des BK crachats : deux prélèvements d’expectoration d’au moins 3 mL et non salivaires le même jour pour examen microscopique et mise en culture solide et liquide sans nécessité d’être à jeun.
Pour les patients incapables d’expectorer, le crachat induit une meilleure sensibilité que le tubage gastrique.
En fonction des possibilités du centre il faudra donc réaliser une fibroscopie bronchique avec aspiration ou un crachat induit si le patient est non expectorant.
Les BK crachats sont négatifs à l’examen direct. L’ECBC retrouve une flore polymorphe. Vous reconsidérez votre diagnostic de tuberculose et vous orientez vers un abcès pulmonaire.
Question 6 - À propos de l’abcès pulmonaire, quelle(s) affirmation(s) est/sont vraie(s) ?
La principale porte d’entrée de l’abcès pulmonaire est dentaire.
Les patients alcooliques chroniques sont à risque (immunodépression, inhalations, mauvais état bucco-dentaire).
Les principaux germes responsables sont les anaérobies de la sphère oropharyngée, les streptocoques du groupe anginosus, et le staphylocoque doré. Klebsiella pneumoniae (KP) peut également être rencontré chez les patients alcooliques, diabétiques, ou bien dans les cas d’infection hématogène par des KP hypervirulentes (notamment en Asie). Chez les patients immunodéprimés, Pseudomonas aeruginosa est également pourvoyeur d’abcès pulmonaires.
Contrairement à la majorité des abcès, le drainage est rarement effectué (difficile techniquement et risque de pneumothorax ou hémoptysie).
Le traitement est prolongé de quatre à six semaines.
Le traitement probabiliste d’un abcès pulmonaire est l’Augmentin sauf en cas de suspicion d’infection par P. aeruginosa.
Il pourra être adapté à la documentation en conservant une courverture anti-anaérobies car ces germes sont fréquemment présents et difficiles à cultiver, donc à documenter.
Vous avez fait chez cette patiente le diagnostic d’abcès pulmonaire sur de probables inhalations répétées chez une patiente avec des sténoses œsophagiennes et une hypoalbuminémie profonde.
Vous introduisez une antibiothérapie probabiliste par Augmentin dans le contexte d’abcès pulmonaire sans documentation microbiologique.
Vous avez réalisé des dilatations œsophagiennes et la patiente n’a plus de trouble de la déglutition.
Vous avez noté par ailleurs que la patiente a une hypoalbuminémie profonde à 12 g/L que vous souhaitez explorer.
Question 7 - Quel(s) signe(s) recherchez vous et quel(s) examen(s) pourriez-vous demander en fonction pour explorer l’hypoalbuminémie ?
Dans le cadre d’une entéropathie exsudative.
Dans le cadre d’une atteinte glomérulaire, voire d’un syndrome néphrotique.
Si on suspecte une entéropathie exsudative.
Le syndrome inflammatoire biologique est responsable d’une hypoalbuminémie (diminution de la synthèse hépatique, fuite capillaire, augmentation du catabolisme).
L’hypogammaglobulinémie est présente quand il y a une perte de protéines notamment dans le syndrome néphrotique et les entéropathies exsudatives.
L’hypoalbuminémie peut être liée à une carence d’apport ou à un syndrome inflammatoire. Elle peut également être la conséquence d’une fuite de protides : pertes cutanées (dans ce cas là on a le contexte assez facilement, grands brûlés par exemple) ; fuite digestive : entéropathie exsudative avec diarrhées et augmentation de la clairance en alpha-1 antitrypsine et enfin protéinurie glomérulaire, voire syndrome néphrotique avec une fuite rénale. Un des signes dans les entérophaties exsudatives ou atteintes glomérulaires est une hypogammaglobulinémie qui n’est pas présente en cas de syndrome inflammatoire ou de carence d’apport.

Exercez-vous aux ECN avec les dossiers progressifs et les LCA de La Revue du Praticien